5th Metatarsal Base Displaced Fracture
Posted by Dr Chang Haw Chong on November 13, 2015 · Leave a Comment
Avulsion Fracture of the 5th Metatarsal Styloid
Fractures of the base of the fifth metatarsal are not uncommon as doctors encounter them in the emergency room and the clinic setting.
Three types of fractures that occur at the base of the fifth metatarsal are tuberosity fractures, acute metaphyseal-diaphyseal fractures and stress fractures.
It is important to distinguish between each type since different treatment methods are indicated for each fracture.
This is a case of a displaced avulsion fracture of the 5th metatarsal styloid. It is also sometimes referred to as the “Pseudo-Jone’s fracture”.
What Causes These Fractures?
This avulsion fracture has been ascribed to the insertion of peroneus brevis and is caused by forcible inversion of the foot in plantar flexion, as may occur while stepping on a curb or climbing steps.
Treatment and Prognosis
In general these fractures can be treated conservatively, and heal well.
For large or very displaced fragments with intra-articular extension then operative fixation may be indicated.
Surgical Treatment
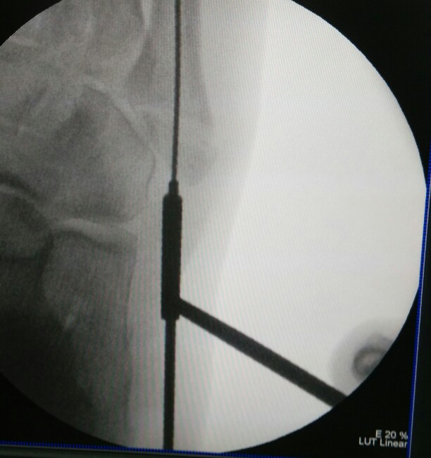
Percutaneous cannulated screw fixation of this displaced avulsion fracture of the 5th metatarsal base was performed.
This procedure is done via a small incision and guided by x-rays fluroscopy.
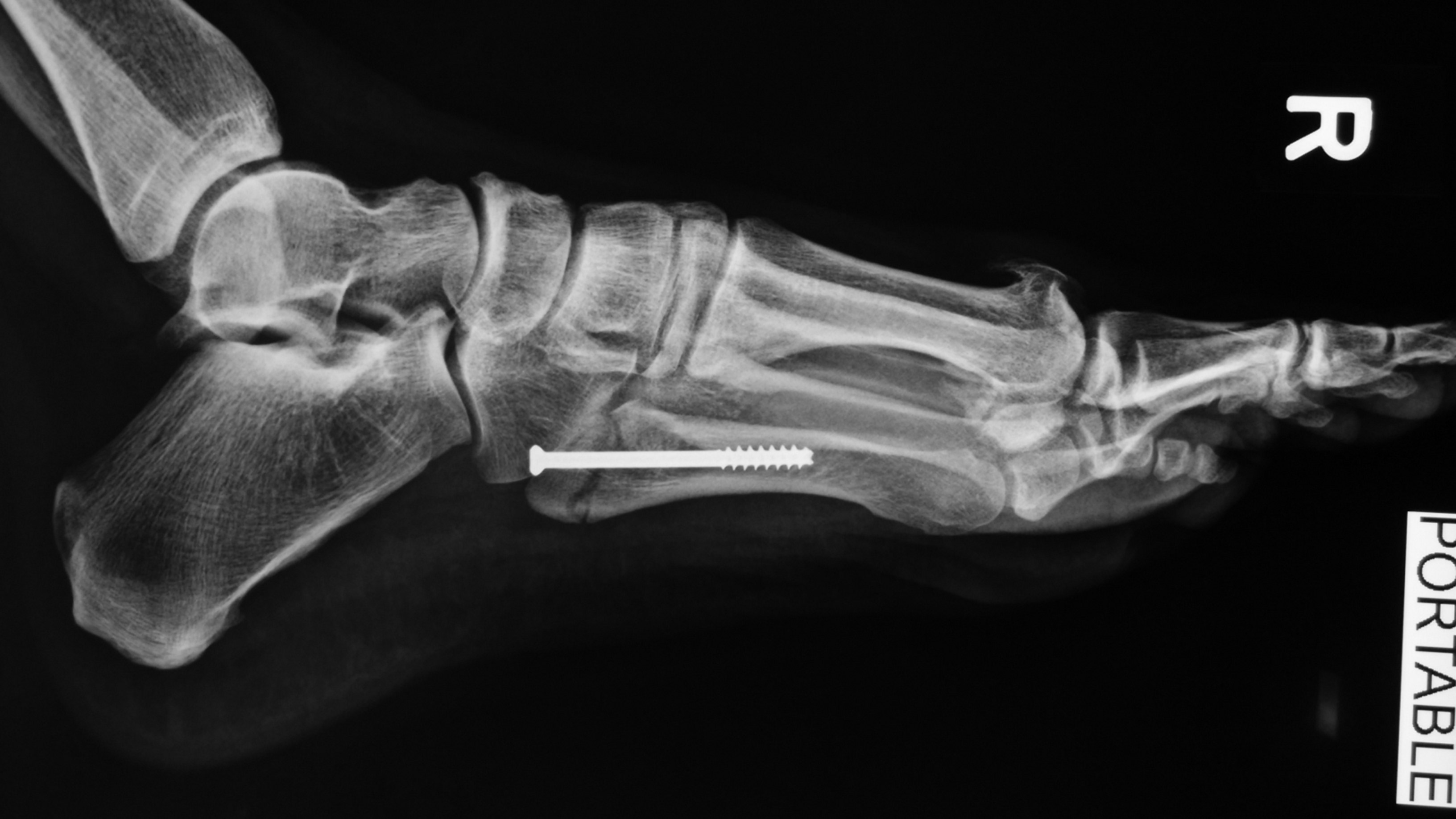
This is the final result:
The patient was able to bear weight on the right foot and walk by the 2nd week after surgery.
For more information on foot injuries or fractures, please contact us at +65-683 666 36 or email hcchang@ortho.com.sg
Related
Filed under Foot · Tagged with fixation, foot fractures, Jone's fractures, metatarsal base fracture, ORIF foot

















