Horizontal Cleavage Tear (HCT) of Meniscus with Meniscal Cyst
A patient consulted me for a lump over the outer aspect of his right knee associated with pain with sports as well as deep flexion of that knee.
Examination of his right knee showed a cystic swelling on the lateral aspect of his knee at the level of the lateral joint line. There was lateral joint line tenderness.

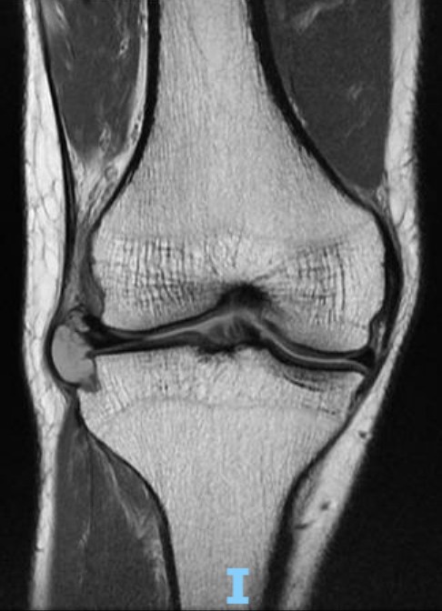
The clinical diagnosis was a lateral meniscus horizontal cleavage tear with a large lateral meniscal cyst.
An MRI scan of his right knee was done to confirm the diagnosis.


The patient underwent arthroscopic repair of the lateral meniscus horizontal cleavage tear as well as open lateral meniscus cystectomy.
During arthroscopy, a horizontal cleavage tear in the lateral meniscus could be seen.

The cyst material was decompressed as much as possible through the tear.
The tear was then repaired using the Smith & Nephew’s NOVOSTITCH.


Unrepaired horizontal cleavage tears (HCTs) can lead to other complications. Evidence suggests that a successful repair can return contact pressures to near-normal levels.
What the Literature Tells Us:
Low reoperation rate 24 months after horizontal cleavage tear (HCT) repair with NOVOSTITCH◊ Meniscal Repair Systems. Kurzweil P, et al. Arthrosc Sports Med Rehabil (2021)
Prospective case series evaluating the effectiveness of all inside HCT repair using circumferential sutures placed with
NOVOSTITCH Meniscal Repair Systems at 8 centres in the US
1. Thirty patients with HCTs meeting International Society of Arthroscopy, Knee Surgery and Orthopaedic Sports Medicine(ISAKOS) criteria were enrolled (mean age, 38.2 years); 24-month efficacy data were available for 23 patients
2. At 6 months, meniscal healing was assessed by second-look arthroscopy in 11 patients.
3. Outcomes assessed at 6, 12 and 24 months included reoperation rates, and patient-reported knee pain and function in patients free from reoperation.
Results
• Freedom from reoperation was 96.0% at 6 months (26/27), 91.7% at 12 months (23/25) and 82.6% at 24 months (19/23).
• Complete meniscal healing (no visible defect) in all patients undergoing second-look arthroscopy at 6 months (11/11
patients.
• Significant improvements in patient-reported knee pain and function from preoperative values at 6, 12 and 24 months (p<0.05):
– International Knee Documentation Committee (IKDC) score
– All Knee injury and Osteoarthritis Outcome Score (KOOS)
subdomains
– Lysholm score
– Tegner score