Elbow Pain – Is It Tennis Elbow?
Tennis elbow (also known as lateral epicondylitis) is a common condition causing pain around the elbow. Patients need not be tennis players but they do complain of pain on the outer aspect of the elbow. It is considered a type of overuse injury to the common extensor tendon of the forearm.
Signs
Pain is usually located at the outer promince (lateral epicondyle) of the elbow. The pain may also be found along the common extensor tendon which is palpated just distal and anterior to the lateral epicondyle.
The pain at the lateral epicondyle can usually be made worse by asking the patient to extend the wrist joint against resistance with the elbow in full extension.
Investigations
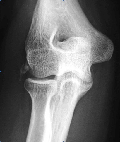
The diagnosis of tennis elbow is usually made by history and clinical examination. X-rays are not always necessary but occasionally may show pathologies such as focal calcification at the common extensor tendon origin.
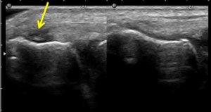
I usually perform a bedside ultrasound examination to confirm the diagnosis.
During ultrasound examination, I look for hypoechogenic areas in the common extensor tendon. This implies an area of tendon substance degeneration. Occasionally I can detect focal areas of calcifications. It is also good to examine the contralateral pain free elbow to look for differences.
The initial treatment of tennis elbow is conservative using rest, ice, oral analgesics, stretching exercises, counter-force braces and in patients with significant pain, cortisone injection.
Counter-force braces can be purchased off-the-shelf in most pharmacies. This is a strap that is applied around the forearm just distal to the painful elbow. It acts to offload the pull of the forearm extensors from the lateral epicondyle to the area under compression. The patient has to wear it at all times and compliance may be an issue.
Cortisone injection to the lateral epicondyle region is an excellent method to treat the pain symptoms by reducing the inflammation.
I usually counsel the patient that the pain will become worse over the next day due to the trauma of the needling and it is useful to continue oral anti-inflammatory medications for the next few days. The tennis elbow pain usually subsides and resolves from the 3rd day onwards. I usually warn the patient that sometimes the pain may recur after a few weeks or months in some patients. I usually limit such injections to 2 times.
Surgical Treatment of Recalcitrant Tennis Elbows
Recalcitrant tennis elbows refer to patients with pain that has failed conservative treatment including pain killers, cortisone injections and physiotherapy.
Traditional Open Method:
Traditional surgical treatment for tennis elbow involves a large incision measuring about 5 to 6 cm centred over the lateral epicondyle of the elbow. The surgeon split the overlying ECRL (extensor carpi radialis longus) to expose the ECRB (extensor carpi radialis brevis) below. The surgeon releases the ECRB tendon insertion off the lateral epicondyle and burr the bone at the insertion of the tendon. Most patients have some problems achieving good range of elbow motion post-operatively initially due to the pain from the large incision and trauma to the muscles. Time away from work is usually in the region of weeks to months.
New Minimally Invasive Method:
The main aim of tennis elbow surgery is to release the ECRB tendon off the lateral epicondyle. As this tendon is the deepest structure from the skin, it makes sense to approach it from the inside rather than through the skin and muscles. Elbow arthroscopy is a fast and easy way to approach the ECRB tendon from the inside of the elbow joint. It involves two tiny skin incisions at along the medial and lateral aspect of the elbow and it allows the surgeon to examine the inside of the elbow and address other pathologies such as synovitis, plica or loose bodies in addition to releasing the ECRB tendon.
Under magnification of the arthroscope, the surgeon can classify the ECRB pathologies into 3 types. Type I is a fraying of the tendon. Type II is a linear tear of the tendon. Type III is a tear of the ECRB tendon.
Using an arthroscopic shaver, the ECRB tendon can be released off the lateral epicondyle and the insertion area burred.
This procedure is usually performed under general anaesthesia and the surgical time is usually 30 minutes. The patient does not need to stay in hospital and can start moving the elbow immediately with minimal pain. Time away from work is usually 2 to 3 days.
Conclusion
Tennis elbow treatment should be tailored to the situation and needs of the patient. Most patients with early symptoms will respond excellently to simple measures and treatment.
Some frustrated patient may simply not get better after multiple cortisone injections, physiotherapy, rest and NSAIDS. Such patients are good candidates for the arthroscopic release of tennis elbow.
For more information or appointment, please call 683 666 36 or email hcchang@ortho.com.sg.
Visit us at www.ortho.com.sg
Comments
3 Responses to “Elbow Pain – Is It Tennis Elbow?”Trackbacks
Check out what others are saying...-
[…] Elbow Pain – Is It Tennis Elbow? March 2010 […]





Dear Dr Chang,
I have recalcitrant tennis elbow and an MRI revealed a small tear in the tendon. My surgeon has scheduled me for surgery for this condition. He informed me that he would be performing Open Surgery while I read on your website that Athroscopic type surgery is less invasive seems better in terms of post-op recovery etc.
I would just like to have peace of mind before going into surgery that I am opting for the right procedure. Would appreciate your opinion on this please? Thanks
Dear Dr Chang,
I am suffering from tennis elbow now for more than a year. my doctor has suggested for Arthroscopic Approach. what are the post care i need to take to ensure i dont get the pain back.
Thanks
Alice