Persistent Pain After Ankle Sprain – Think of Talus OCL
Inversion sprain of the ankle joint is very common. Most of the time the pain resolves and one can resume normal sporting activities.
However, in some people. the pain may not totally go away.
There are 2 common causes of persistent pain that just simply won’t go away after an ankle inversion sprain. The first is formation of scar tissue inside the ankle joint. The other is an osteochondral lesion of the talar dome.
For example, this sportsman presented with persistent pain in the anteromedial aspect of his right ankle after an inversion sprain which happened 4 months ago.
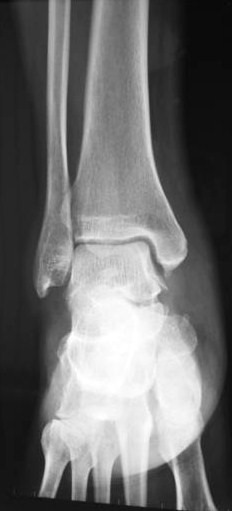
X-ray of the right ankle appeared normal.
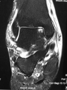
MRI scan showed an osteochondral lesion involving the superomedial aspect of the talar dome.
This diagnosis would have been missed if not for a high index of suspicion and by the use of an MRI scan.
Treatment consisted of an arthroscopic excision of the talar dome osteochondral lesion together with microfracture of the bony base to stimulate fibrocartilage formation.
Video of the right ankle arthroscopy.
Part 1 – Probing the Lesion
Part 2 – Debriding the osteochondral lesion
Part 3 – Microfracture of the Bony Defect
Post-operative rehabilitation involves 6 weeks of non-weight bearing ambulation of the operated leg with help of crutches.
The patient is required to do active range of motion exercises of the ankle to promote the formation of fibrocartilage.
For more information, please contact us at 683 666 36 or email hcchang@ortho.com.sg.
Visit us at www.ortho.com.sg





Comments
One Response to “Persistent Pain After Ankle Sprain – Think of Talus OCL”Trackbacks
Check out what others are saying...[…] The busiest day of the year was October 6th with 250 views. The most popular post that day was Persistent Pain After Ankle Sprain – Think of Talus OCL. […]