Hip Replacement for Hip Pain from Osteoarthritis
Hip osteoarthritis is not that common in Singapore. Knee osteoarthritis is much more common.
Hip osteoarthritis can be due to:
- Primary hip osteoarthritis from wear and tear.
- From previous hip fracture.
- Avascular necrosis of the hip i.e. the blood supply to the femoral head is disrupted
- From hip dysplasia i.e. the socket of the hip joint is not well developed leading to lack of coverage of the femoral head.
- From hip labral tears. This is a topic under Femoral Acetabular Impingement. I will blog about this in the future.
- After infection involving the hip joint.
The symptoms of hip osteoarthritis include:
- Pain in the groin, or buttock, or lateral hip area with walking or standing.
- Stiffness of the hip joint.
- Unable to squat.
- Walking with a limp.
- Shortening of the leg in the involved side.
The main problem is pain with weight bearing activities.
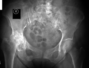
This is a patient who has hip osteoarthritis after a fracture involving the socket many years ago.
Treatment Includes:
- Oral pain killers.
- Lose weight.
- Use a walking stick in the opposite side.
- Physiotherapy.
- TCM – acupuncture.
- Viscosupplementation – inject lubricant into the hip.
- Total hip replacement.
Hip Replacement Surgery
This surgery removes the arthritic part of the joint and replacing it with metal cup and metal head. A plastic cup is inserted into the metal cup and this allows the metal head to articulate with the plastic within the metal cup.
This is a picture taken during surgery with the arthritic head of the hip joint being delivered.
The surgery takes about 2 hours to complete and is done under regional or general anaesthesia.
This is the post-operative x-rays showing the hip implants:
The patient usually will be able to get up to walk with a walking frame either on the 1st or 2nd day after the surgery.
The patient is expected to walk without walking aids at about 1 to 2 weeks after the surgery.
The pain relief from this surgery is excellent.
For more information on hip replacement surgery, please contact us at 683 666 36 or email hcchang@ortho.com.sg
You can also visit us at http://www.ortho.com.sg




