Patellar Dislocations – What, Why, Who and What to Do.
What is a dislocated patella?
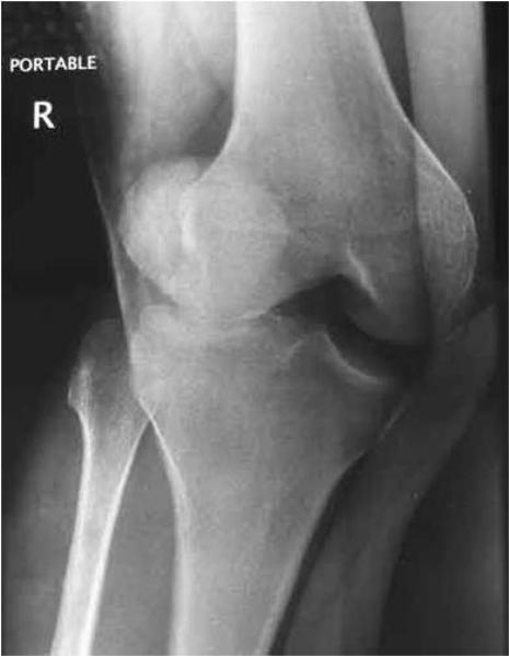
A dislocated kneecap (patella) occurs when the kneecap (patella) pops out from its normal position. This can occur as the result of trauma or it can be due to a developmental condition that leads to an improper alignment of the kneecap with the distal thighbone (femur).
The kneecap usually pops out to the outer aspect of the knee i.e. laterally.
What causes a dislocated patella?
The kneecap connects all the muscles in the thigh to the shinbone (tibia). As you bend or straighten your leg, the kneecap is pulled up or down. The thighbone has a V-shaped notch (trochlear groove) at the lower end to accommodate the moving kneecap.
In a normal knee, the kneecap fits nicely in the groove. But if the groove is uneven or too shallow due to developmental reasons, the kneecap could slide off, resulting in a partial or complete dislocation.
Kneecap dislocation can occur due to laxity of the ligaments surrounding the knee.
It can also be due to a sharp blow to the kneecap, as in a fall or from a twisting injury to the knee.
These can also force the kneecap out of place.
Who are at risks of kneecap dislocations?
Most dislocations first occur in active teenagers and young adults from the ages of 14-20 years old.
Contact sports like soccer are commonly involved, although a significant number of dislocations occur from simple falls or a wide variety of activities such as gymnastics, dancing, or netball.
Kneecap dislocations tend to be more common in girls compared to boys.
What are the Symptoms?
Pain. The first time is usually quite painful.
Inability to straighten the knee. The knee is kept in a bent position.
The knee looks deformed as the kneecap has gone outwards.
H ow To Reduce the Dislocation?
Generally the patient needs to be relaxed and given pain relief either via nitrous oxide gas or intramuscular pain injections.
The knee is gently extended while the kneecap is eased medially.
This video is a great example of how it should be done at the Emergency Room:
In some patients who have dislocated the kneecap numerous times, they sometimes can put the kneecap back into position by themselves.
Clinical Examination – Patella Apprehension Test
What Are the Considerations After One Has Suffered A Kneecap Dislocation?
This video created by Dr A Reznik will be useful to understand some of the issues at hand.
For more information on kneecap dislocations, please contact Dr HC Chang at 65-683 666 36 or email hcchang@ortho.com.sg
Do visit us at http://www.ortho.com.sg


