Treatment Options for Cartilage Damage | Cartilage Defects of the Knee
What is Cartilage?
A type of tissue primarily found in the joints
Fibrous, elastic tissue covering the bone surfaces in a joint. It has a sliding and impact-absorbing function.
Smooth, slippery substance preventing the ends of bones from rubbing together.
Unlike bone, cartilage does not contain blood vessels and lacks the ability to regenerate.
It is composed of a network of collagen fibres and a proteoglycan matrix within which lie cartilage cells. The collagen is responsible for the tensile strength while the proteoglycan matrix (consisting of 80% water) resists compressive forces.
What is a Cartilage Defect? What is a “Torn Cartilage”?
A cartilage defect is an area of cartilage that is damaged.
Cartilage defects are most commonly seen in the knee joint. The most common cause of a cartilage defect in the knee is trauma.
It is commonly seen in association with ligament injuries such as anterior cruciate ligament (ACL) tears.
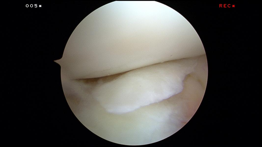
Can you show me how a full thickness cartilage defect of the knee looks like?
Sure. This is a person who has pain in the right knee after when playing tennis. MRI scan showed a full thickness cartilage defect (or torn cartilage) in the lateral (outer) femoral condyle.
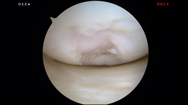
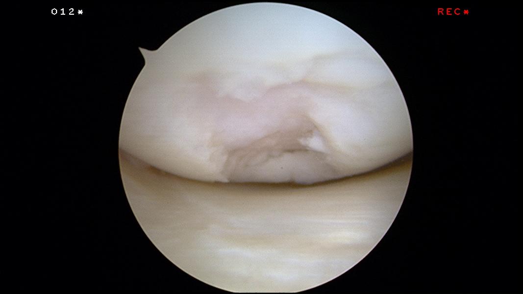
This is how it looks like during arthroscopy:
The torn cartilage was found floating inside the knee. Sometimes it cannot be found.
What are the usual symptoms to suggest a torn cartilage inside the knee joint?
These include intermittent pain and swelling. The patient may also present with locking or giving way if the fragment has separated into the joint.
On examination, there is usually muscle wasting /inhibition, a reduced range of movement and tenderness over the site of the damage which is most commonly the medial femoral condyle or the kneecap.
In cases of acute trauma, the patient may have a haemarthrosis (the rapid accumulation of blood in the knee).
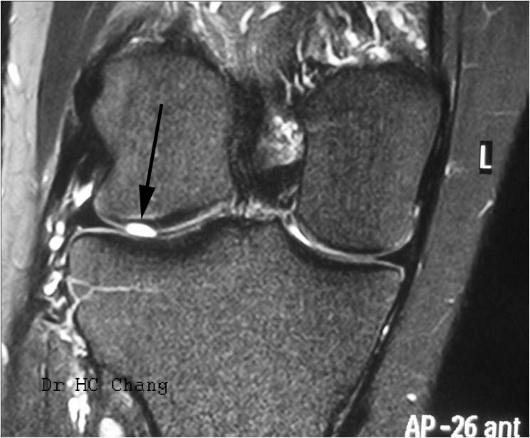
How can I confirm whether I have a torn cartilage (or cartilage defect) in the knee?
MRI scans of the knee usually will show the extent of the damage.
It will tell us the site and the size of the cartilage defect. It will also show us whether there is stress in the underlying bone.
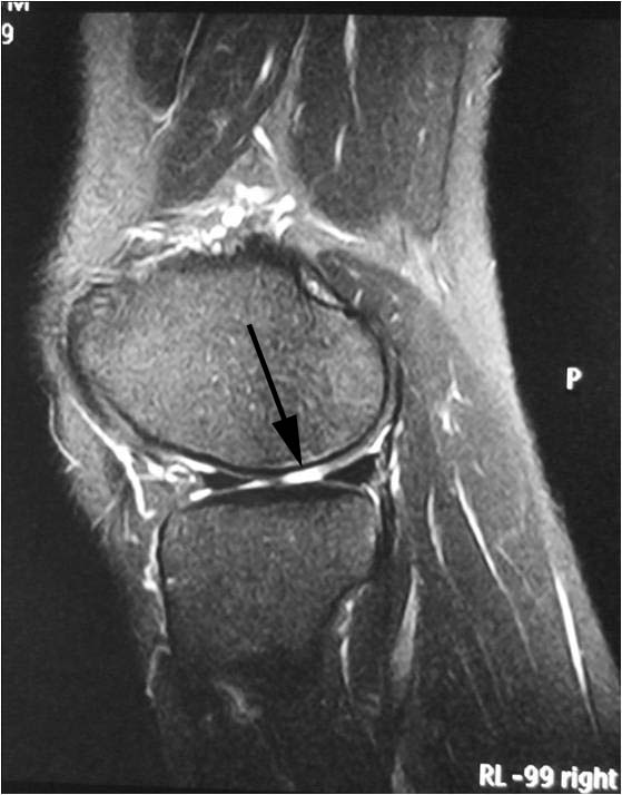
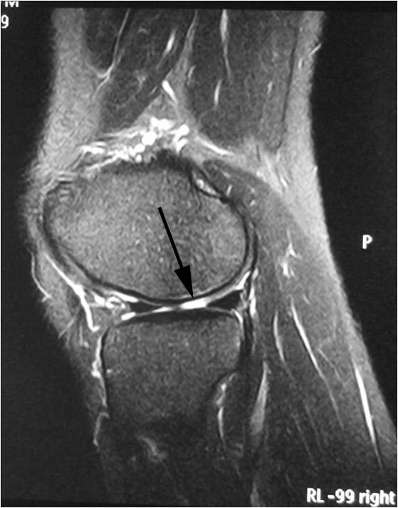
This is an MRI scan in a person who has knee pain and intermittent swelling. MRI confirmed a full thickness cartilage defect in the lateral femoral condyle.
Is a knee cartilage defect the same thing as knee arthritis?
These are 2 distinctly different conditions.
A cartilage defect is a focal, isolated ulceration or tear of the articular cartilage. The rest of the knee joint cartilage should still be intact.
Osteoarthritis refers to diffuse, generalised loss of articular cartilage in the knee joint. The treatments are different!
Can my torn cartilage heal on it’s own?
No. It cannot. This is because there is no blood supply in the cartilage. Hence it has no potential or ability to heal.
How can I repair my torn cartilage inside my knee?
The treatment options include:
- Anti-inflammatory medications, rest, physiotherapy and avoid impact sports.
- If conservative management fails, surgery should be considered.
What type of surgery can help for such conditions?
It can be broadly separated into microfracture, cartilage transfer and cartilage implantation.
Microfracture is an arthroscopic technique to make small holes in the subchondral bone of the cartilage defect to stimulate it to form new cartilage. The topic of microfracture has previously been discussed.
Cartilage transfer involves taking cartilage from one section of the knee and placing it into the cartilage defect. Such cartilage are usually removed with some bone as a form of small plugs and implanted into the defect after making plug holes. It is sort of like “taking from Peter to pay Paul”. The problem is that there are not that many areas of the knee where the cartilage is not that important where we can take from.
Cartilage implantation is a surgical technique where the patient’s cartilage cells are biopsied through arthroscopy and sent to a laboratory to isolate and culture the cartilage cells called chondrocytes. These are multiplied and implanted back into the defect a few weeks later.
For more information on cartilage problems and treatment options, do contact us at +65-683 666 36 or email hcchang@ortho.com.sg
Do visit us at http://www.ortho.com.sg for more information.



