Sudden Severe Shoulder Pain – Think of Shoulder Calcific Tendonitis
Every now and then I will see a patient who suddenly develops severe shoulder pain almost out of the blue and they have difficulties lifting up the painful shoulder.
One possible diagnosis to keep in mind is that of calcium crystal deposition into the tendons of the shoulder. We doctors call it “Calcific tendonitis of the Shoulder“.
The pain is commonly described as severe, sharp in nature and disturbs sleep.
Painter first described calcification in the shoulder in 1907. Codman established that the calcification was within the tendons of the rotator cuff. Calcifying tendinitis of the shoulder is characterized by the presence of macroscopic deposits of hydroxyapatite (a crystalline calcium phosphate) in any tendon of the rotator cuff.
How To Make The Correct Diagnosis?
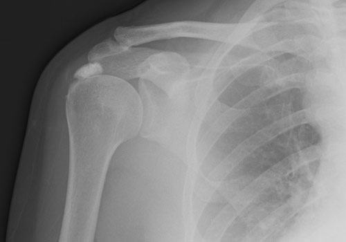
The best way to make a diagnosis is to order some radiological tests.
A plain x-ray of the shoulder joint can show calcification of the tendons around the shoulder.
An ultrasound scan can also show calcium deposits in the rotator cuff tendon.
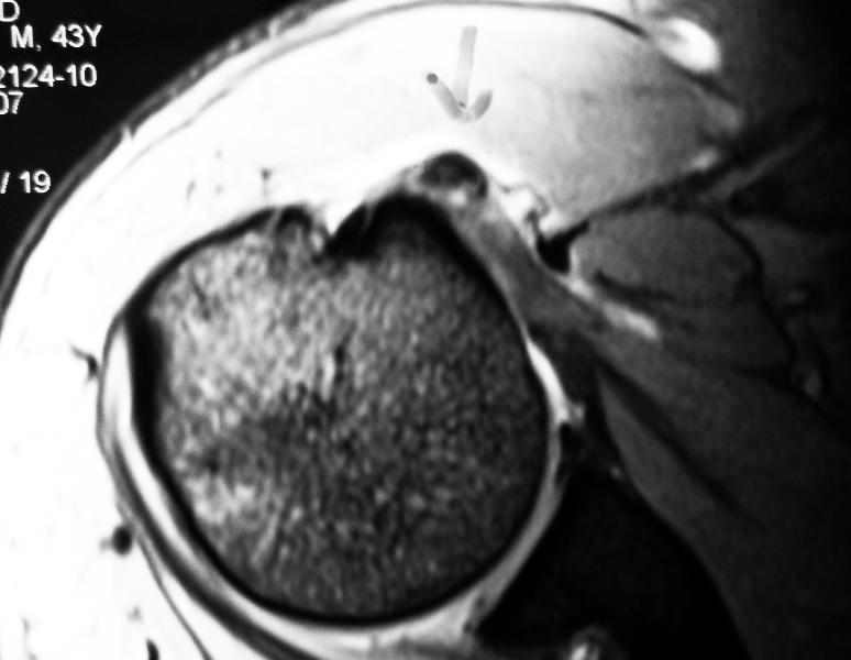
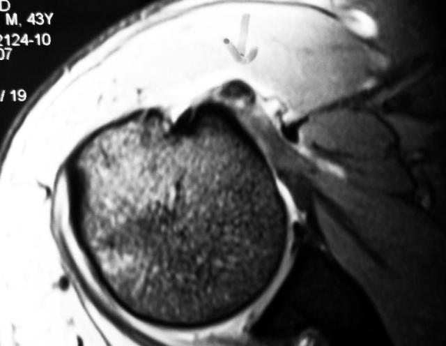
MRI scan when used to look for other problems in the shoulder, e.g. tendon tears, can also show the calcium deposits inside the tendons.
Why Is Calcium Deposited There?
Calcific tendonitis is due to a build-up of calcium in the rotator cuff tendons, and is often aggravated by an existing condition, such as Impingement or overuse tendonitis in the shoulder.
The cause of this condition is UNKNOWN. It usually occurs in people aged 30 to 40 years, and can occur in both shoulders in about 15% of people.
When calcium builds up in the area, pain results from acute inflammation. Calcium is deposited in the rotator cuff, between the humerus and acromion inhibiting the normal, friction-free movement of the joint. Impingement or tendonitis, which reduce the mobility of the joint leads to degenerative change and Calcium deposition.
Why Does It Cause Pain?
When calcium builds up in the tendon, it can cause a build up of pressure in the tendon, as well causing a chemical irritation. This leads to pain. The pain can be extremely intense. It is one of the worst pains in the shoulder and can be very acute in it’s presentation.
The calcium in the tendon makes the tendon swollen and this reduces the space between the rotator cuff and the acromion, as well as affecting the normal function of the rotator cuff. This can lead to impingement of the subacromial space between the acromion and the calcium deposit in the rotator cuff when lifting the arm overhead.
Three Stages of this Condition has been Described
- Precalcification Stage
Patients usually do not have any symptoms in this stage. At this point in time, the site where the calcifications tend to develop undergo cellular changes that predispose the tissues to developing calcium deposits. - Calcific Stage
During this stage, the calcium is excreted from cells and then coalesces into calcium deposits. When seen, the calcium looks chalky, it is not a solid piece of bone. Once the calcification has formed, a so-called resting phase begins, this is not a painful period and may last a varied length of time. After the resting phase, a resorptive phase begins–this is the most painful phase of calcific tendonitis. During this resorptive phase, the calcium deposit looks something like toothpaste.
- Postcalcific Stage
This is usually a painless stage as the calcium deposit disappears and is replaced by more normal appearing rotator cuff tendon.
In over 90 percent of cases, the deposits disappear spontaneously, but this may take 12 to 18 months.
What is the Treatment?
Treatment of calcific tendinitis involves:
1. Painkillers and anti-inflammatory medications
2. Physiotherapy – keeps your shoulder muscles strong and flexible and reduce the irritation
3. Cortisone steroid injections – reduces inflammation and control the pain
4. Ultrasound guided aspiration of calcium – this can only work if the calcium is not solid yet
5. Arthroscopic excision – removal of the calcium from the tendon using keyhole surgery
This is a video which explains what this condition is and how it is treated arthroscopically. Credits to Dr Terry Hammond for the excellent educational video:
For more information on shoulder pain and treatment, please call us at +65-683 666 36 or email us at hcchang@ortho.com.sg
Do visit us at http://www.ortho.com.sg




Good info. I had this for a few weeks with the terrible pain. After laying off heavy lifting and heavy work it’s abated but anytime I do heavy work it flares up quickly.
With the Arthroscopic excision, would it usually just re-occur in most people? Is this a simple surgery and how long is the recovery time? Thanks for any help.
Hi Tim, you can try 1 shot of cortisone into the subacromial space of your affected shoulder. It can be quite effective. However, if the pain recurs and surgery is needed, it is a simple procedure but your surgeon may have to repair the tendon at the end of the procedure to remove the calcium deposits inside the tendon. The recovery time may be slightly longer for this reason. Generally 6 to 12 weeks to feel pretty good. The calcium deposits, once removed, usually do not recur.
Hi again Dr. Chang Haw Chong,
Thanks so much for the reply and advice. It’s actually in both shoulders when it occurs. I’d like to do more physical activities but I hesitate now knowing it will cause pain for days, even weeks, afterwards. It most definitely will re-occur as it has several times in the past year. I basically now am limited to certain exercises/activities I can do. If surgery would correct this, even with a 3-month recovery time I would think it’s very worth it, or am I missing some possible side effects or unwanted outcomes?
I have had this problem for 18 months now in my right shoulder. I have had 1 injection 4 months ago which helped for a few weeks but the pain is back with a vengeance now especially in the evenings and it can be very very painful. The deposit shown to me on an ultrasound scan a couple of months back was quite large and in the toothpaste stage. I wish this would hurry up and resolve itself as it is a nightmare trying to get sleep at night. I expect I will end up under the knife if this does not improve soon.
Hi Doctor,
I have the same problem described above. I am facing this problem frequently ( once in 3-4 months) with both the shoulders randomly.Some times left and some times right. The pain is unbearable for me and not able to lift hand itself due to this pain. I need to use my second hand to lift the hand to wear my vest. More over this problem goes off automatically with out any medication may be after 2-3 weeks. Once I consulted a doctor and he suggested me to use normal medicines prescribed,but problem persists. My father and paternal aunt has the same problem but they has it for one shoulder only unlike me. Currently I am working in UAE. Please suggest me in this regard.
Regards
Surya
Hi Surya,
If there is x-ray confirmation of calcific tendonitis and your shoulder pain recurs often, surgical removal of the calcified deposits with arthroscopy is the best solution.
Regards,
hc
Hi Dr.CHANG,
I have the same problem like the others, i have sharp pain on my right shoulder now I can’t move my arm or raising it up. What do u think the cause of this condition? I also have tennis elbow also or tendinitis on my right arm that most of the time I have pain too especially if I’m busy at work and used my arm. My job requires re-petitive motion in my arm and shoulder. I’ve been suffering with this pain on and off for the past 3-4 years now and mostly hot pack and aleve helps, but this time last Saturday I woke up with severe pain and it didnt go away. DO YOU THINK THIS CONDITION IS JOB RELATED??? I been at my work for 16 years same….. now I don’t know what treatment is best for my condition, I’m also diabetic but controlled by meds.THE ER doctor said my x-ray shows calcium builds up on my shoulder I dont know how severe it is so what is the best treatment for me and if this can be job related condition.
Thank you,
tess
Dear Tess,
Repetitive overhead movements of the upper limbs can result in tendonitis of the shoulder joint.
You may also be suffering from “impingement syndrome”. This is a condition where the bony spur of the acromion hits the rotator cuff tendons when the shoulder is elevated above 90 degrees.
Repetitive injury from impingement syndrome to the tendons can result in deposition of calcium into the substance of the tendon.
In this case, yes, your pain may be work-related.
The treatment is to come to a correct diagnosis. I would do x-rays to look for spurs and calcium in the tendon. An MRI scan should be done to rule out any cuff tendon tear.
Being a diabetic, you are at increased risk of frozen shoulder. A careful examination will help to rule this out.
The treatment will depend on the cause of your pain.
Regards,
hc
Dr. Chang,
I have had random sharp pains in my right shoulder for the past 3 months or so….. Most of them occur when I am just sitting at a desk with little or no movement of my arm. I can sometimes replicate by lifting an item or reaching for something. It reminds me of the ‘strain’ pain that I had lifting a 30 to 40 lb computer case into and out of my car on an almost daily basis for 10 years, back in my 30’s. (I even finally traded in my car for a small SUV, so I could avoid part of the ‘trunk’ effort and more lift and slide… ) I recently obtained a rotator cuff or shoulder Ultra Sound, and the report came back with ‘no tendon or ligament tears’, just ‘some arthritis’. The nurse said that it could be ‘tendonitis’. What could be causing sharp, random pains several times a day? Perhaps a bone spur?
Hi Margaret,
The likely causes include:
1. Tendonitis of the rotator cuff tendons.
2. Calcific tendonitis (calcium deposits into the tendon).
3. Subacromial impingement (by bony spurs of the acromion).
4. Other problems inside the shoulder e.g. labral tears.
5. Long head of biceps tendonitis.
6. Shoulder osteoarthritis.
You need to see a specialist and obtain the relevant investigations to arrive at the right diagnosis.
Regards,
hc
Great info here, Dr. Chang….Margaret – I just started having the exact same problem. Sharp sudden pain and then it more or less goes away and I am fine. I swim pretty rigorously 2 x per week (been doing this for 10 years) and I just started lifting weights 2 months ago. I will keep you posted. Thanks
I have had this problem for 18 months now in my right shoulder. I had my shoulder x-rayed and results showed I have large calcific deposits on the supraspinatus tendon. I also have a large calcium deposit adjacent to the AC joint. My GP is referring me to an Orthopaedic specialist. Do you think barbotage/lavage will work to clear my condition or will I need arthroscopic surgery?
Hi,
I prefer to remove the calcium under direct visualization via arthroscopy.
Regards,
hc
Had my first injection with specialist nearly 2 weeks ago. My shoulder feels a lot better. The specialist was able to remove a small bit of the calcium. I’m having another injection with the specialist again early next week. I hope he’ll be able to extract some more calcium. He did say that I may need surgery to remove the deposit if the injections don’t work to remove the calcium deposit. Any thoughts
Hi Niall,
I have no experience with needle aspiration of the calcium deposits. It is very difficult to perform unless the doctor is skilled with using ultrasound.
Regards,
hc
Hi!
Sept 3, 2015 I had surgery to remove a small amount of calcium wrapped around tendons under left rotator cuff. No stitch or repair to rotator cuff at all. The surgeon pulled me twice from physical therapy due to excruciating pain. Before surgery I had 2 months physical therapy, 2 injections to no avail. The surgeon said I shouldn’t be in this much pain, now 7 weeks from surgery. Sling came off in a week. Pain meds very difficult for me, no codeine, allergic to it. I could now use my arm but the pain is unbearable. Last week I was on 6 days prednisone and the pain subsided, however this week the pain is back though not as severe like someone stabbing me with knife 24/7. Now I’m scared as I told surgeon the pain is so severe, worse than before my surgery. He said it looks like inflammation and blood test showed no infection. Thank you for your input.
Hi Carol,
Sorry to hear about your painful shoulder post-surgery.
This is highly unusual. I would consider doing an MRI to rule out cuff tear and also consider “chronic regional pain syndrome”. CRPS was previously called reflex sympathetic dystrophy (RSD).
Regards,
hc
Recently I had a knee replacement, during recovery I developed pain in my right shoulder which began about 4 weeks ago. At first it manifested itself as stiffness, discomfort in movement and restricted movement. I saw a Physicians Assistant and was given a cortisone shot. They also took an x-ray which showed a bone spur. The pain has intensified significantly along with considerable restriction of movement. The cortisone shot did not help. Here is the kicker! About 1 week ago I began to have the same symptoms in my left shoulder. The discomfort is mild but it appears to be following the same path as my right shoulder. I have an appointment to see the PA in a couple of days. What would you suggest I discuss with her? What do you think is causing this and what are your recommendations.
Dear Dan,
I would consider getting an MRI of the painful shoulder to make sure that there is no rotator cuff tendon tear.
Regards,
hc
I had surgery to remove a calcium deposit and had a RC repair which involved two stitches. I am 12 weeks post surgery and a recent x-ray shows a calcium deposit re-forming. Is this common and should I look at having it removed before it causes damage?
Dear Samantha,
Was there an x-ray done immediately post-surgery to confirm that the calcium deposit was completely removed? If not, then that calcium on the latest x-ray could be remnant deposits that were not completely removed during the index surgery. This is very common and usually of no significance to the patient. IF this is indeed a new accumulation of calcium deposits, I would consider re-assessing the patient 3 months after the cuff repair surgery to see if there is any pain symptoms in that shoulder. It usually takes 3 months to recover from such surgeries. IF there is no pain, there is no need to do any further intervention to that calcium deposit. Please discuss with your surgeon as I have not examined you nor seen your x-rays.
Regards,
hc
Hi,
I am searching what my pain could be related too. It’s a sharp shooting pain but doesn’t hurt with movement as I see that many can replicate while lifting or making movements. It wakes me up at night and it sort of feels like if heats up as well. It doesn’t hurt to touch, no swelling either. Could it still be calcium deposits? I have an appointment soon just wondering what could alleviate my pain meanwhile.
Hi Michelle,
It could be. However. there are other diagnoses to consider as well. These include: shoulder subacromial impingement, rotator cuff tendonitis, rotator cuff tendon tears, early frozen shoulder. A clinical examination with x-rays and possibly MRI may be needed to come to a proper diagnosis.
Regards,
hc
Retired women, 62 yrs. I was just diagnosed with 2 calcified deposits in my left shoulder mesured a total of 2,5 x 0,8 cm in the soft tissue. No evidence of fracture or subluxation. The articulation glenohumeral is well preserved. I will be seeing a physio as I cannot lift my arm ( this happened suddenly a week ago). What do you recommned as far as medication and surgery. Should I stop all exercises? As I am a runner. Thank you very much for helping me out.
Dear Monique,
It would be useful for you to consult an Orthopaedic doctor for your calcific tendonitis of the left shoulder. Usually a cortisone injection to the subacromial space together with some oral anti-inflammatory medications will bring about good pain relief and resolution of pain symptoms. Surgery can be done if the abovementioned measures fail. Conservative treatments usually work well.
Regards,
hc
I had excruciating pain in my shoulder & arm. I saw a specialist and was diagnosed with calcific tendinitis. I was given a cortisone shot and a steroid prescription. A week later, I wasn’t in as much pain as before, but my upper arm feels tight and sore. My range in movement/motion is also limited. How likely are reoccurring attacks of excruciating pain? Also, my job entails being on my feet all day long, handling moderate to heavy items, and frequent use of my arms. I have not been to work since this started and I think I would be very uncomfortable at work. Would surgery be beneficial?
Thanks,
RM
Hi Ramona,
Yes, arthroscopic surgery to remove the calcium deposits can improve your shoulder pain. Please see your doctor.
Regards,
hc