Heel Pain – Think of Haglund’s Syndrome (Pump Bump)
Haglund’s Syndrome as a Cause of Heel Pain
A bony growth that appears at the back of the heel bone can occur. This growth is called an exostosis (a benign cartilaginous growth) and is known as Haglund’s deformity.
This bony prominence can rub against the overlying Achilles tendon and causes pain in the tendon. A small sac (called bursa) that lies between the bone and the Achilles tendon usually becomes inflamed and swollen. This is called retrocalcaneal bursitis.
The syndrome is caused by repetitive impingement of the bursa between the ventral aspect of the Achilles tendon and the posterosuperior calcaneal prominence. Typically, patients have pain when they start to walk after a period of rest.
Haglund’s deformity can occur in one or both feet. The signs and symptoms include:
- A noticeable bump on the back of heel
- Pain in the area where the Achilles tendon attaches to the heel.
- Swelling in the back of the heel.
- Redness near the inflamed tissue.
Haglund’s disease is characterized by pain and tenderness at the posterolateral aspect of the calcaneus where a calcaneal prominence can be palpated. This entity also is known as ‘‘pump-bump.’’ A distinction between Haglund’s disease and other pathologic conditions, such as a superficial Achilles bursitis, must be made.
Haglund’s syndrome involves a painful swelling of an inflamed retrocalcaneal bursa, sometimes combined with insertional tendinopathy of the Achilles tendon.
What Causes This?
High arches (pes cavus) can contribute to Haglund’s deformity. The Achilles tendon attaches to the back of the heel bone, and in a person with high arches, the heel bone is tilted backward into the Achilles tendon. This causes the uppermost portion of the back of the heel bone to rub against the tendon. Eventually, due to this constant irritation, a bony protrusion develops and the bursa becomes inflamed. It is the inflamed bursa that produces the redness and swelling associated with Haglund’s deformity.
A tight Achilles tendon can also play a role in Haglund’s deformity, causing pain by compressing the tender and inflamed bursa. In contrast, a tendon that is more flexible results in less pressure against the painful bursa.
Another possible contributor to Haglund’s deformity is a tendency to walk on the outside of the heel (varus heel). This tendency, which produces wear on the outer edge of the sole of the shoe, causes the heel to rotate inward, resulting in a grinding of the heel bone against the tendon. The tendon protects itself by forming a bursa, which eventually becomes inflamed and tender.
This is a person who is an avid runner. He has pain in both heels from Haglund’s deformity. The right heel was operated on with an open technique. The Haglund’s exostosis was removed surgically with improvement of his right heel pain. His left heel was now giving him pain when running.
Diagnosis
There is usually pain in the Achilles tendon insertion into the calcaneus (heel bone) posteriorly.
The Achilles tendon can be thickened (swollen) and tight.
There is pain in the retrocalcaneal bursa (see the 1st picture in this article).
I usually check for high arch of the foot as well as look at the heel from the back with the patient standing to make sure that there is no heel varus (the heel points inwards when standing). These physical signs usually point to poorer results with treatment.
An X-ray of the heel can be done to look for any Haglund’s exostosis or deformity.
An MRI scan can be done. This is useful to diagnose Achilles tendinosis (which is related to the Haglund’s bump), swelling of the sac between the Haglund’s bump and Achilles tendon (retrocalcaneal bursitis).
Non-Surgical Treatment
Non-surgical treatment of Haglund’s deformity is aimed at reducing the inflammation of the bursa. While these approaches can resolve the bursitis, they will not shrink the bony protrusion. Non-surgical treatment can include one or more of the following:
- Medication. Anti-inflammatory medications may help reduce the pain and inflammation. Some patients also find that a topical pain reliever, which is applied directly to the inflamed area, is beneficial.
- Ice. To reduce swelling, apply a bag of ice over a thin towel to the affected area for 20 minutes of each waking hour. Do not put ice directly against the skin.
- Exercises. Stretching exercises help relieve tension from the Achilles tendon. These exercises are especially important for the patient who has a tight heel cord.
- Heel lifts. Patients with high arches may find that heel lifts placed inside the shoe decrease the pressure on the heel.
- Heel pads. Placing pads inside the shoe cushions the heel and may help reduce irritation when walking.
- Shoe modification. Wearing shoes that are backless or have soft backs will avoid or minimize irritation.
- Physical therapy. Inflammation is sometimes reduced with certain forms of physical therapy, such as ultrasound therapy.
- Orthotic devices. These custom arch supports are helpful because they control the motion in the foot, which can aggravate symptoms.
- Immobilization. In some cases, casting may be necessary to reduce symptoms.
Surgical Treatment
If non-surgical treatment fails to provide adequate pain relief, surgery may be needed.
Operative treatment consists of removal of the inflamed bursa and resection of the bony prominence. This can be done by the traditional open surgical technique with a 3 to 4cm scar or a minimally invasive endoscopic technique using 2 small stab incisions.
I perform a minimally invasive procedure to remove the Haglund’s bony prominence. This procedure is called Endoscopic Calcaneoplasty.
Endoscopic Calcaneoplasty
The operation is performed under general or regional anesthesia with the patient in a prone position.
I use the fluoroscope (x-rays) to localise the position of the Haglund’s exostosis.
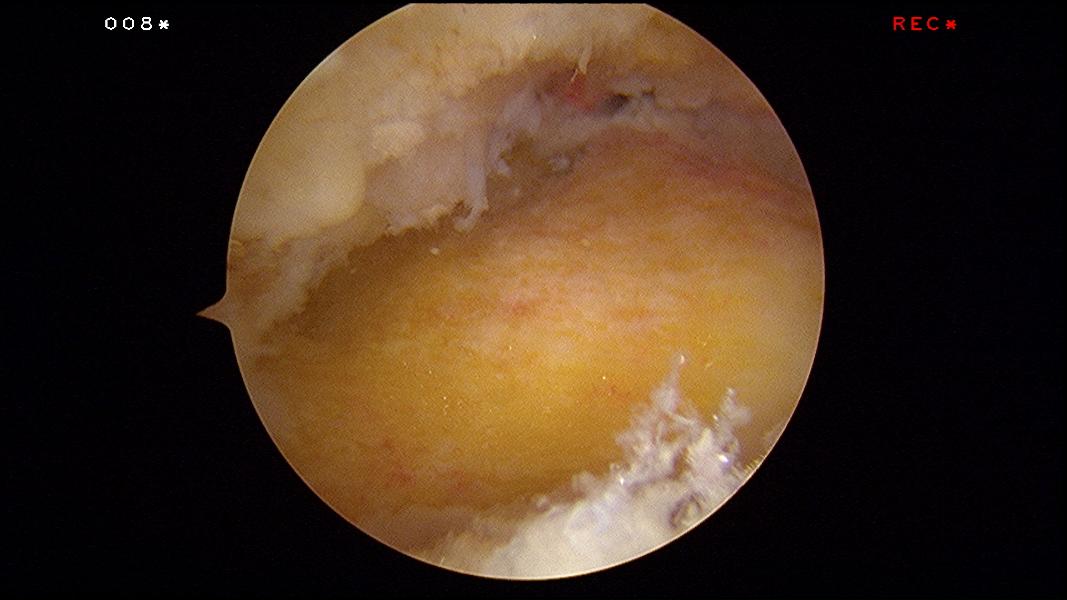
A small vertical incision is made through the skin at the level of the superior aspect of the calcaneus. The retrocalcaneal space is penetrated by a blunt trocar. A 4.5-mm arthroscope is introduced into the retrocalcaneal space.
Under direct vision a spinal needle is introduced just medial to the Achilles tendon, again at the level of the superior aspect of the calcaneus, to locate the medial portal. After making a vertical stab incision, the 3.5-mm full radius
resector is placed and visualized by the arthroscope. The inflamed retrocalcaneal bursa is removed to provide a better view.
The superior surface of the calcaneus is visualized, and its fibrous layer and periosteum is stripped off using a radiofrequency wand.
The Haglund’s exostosis is exposed.
When the foot is brought into full dorsiflexion, the impingement site is determined.
A 4.0mm hooded arthroscopic burr is used to remove the Haglund’s exostosis. All of the time the opening of the burr is facing the bone. The foot is placed in full plantarflexion and the posterior superior bone rim can be removed.
Upon completion of the procedure, the exostosis should be flattened and the insertion of the Achilles tendon into the heel bone should be clearly seen.
An intra-operative fluroscopy (x-rays) is taken to confirm complete removal of the Haglund’s protruberance.
This is the surgical scar after skin closure:
Post-Surgical Recovery
The patient is allowed to walk with the help of crutches and avoid bearing weight in his operated foot for the next 3 weeks.
The operated foot should be elevated for at least 3 to 5 days.
The surgical wound should heal in 14 days after surgery and the stitches are removed.
The patient can start putting more weight on the operated foot from 3rd week onwards.
He can resume running in 3 months’ time.
The success rate of this procedure has been quoted to be 90%.
For more information on the treatment of heel pain, please contact us at +65-683 666 36 or email hcchang@ortho.com.sg
Do visit our website at http://www.ortho.com.sg














Hi Dr Chang Haw Chong
I have been suffering with this ailment for many years. I am a 40 year old male in great shape and very active but can not take the pain any more. I have had cortisone shots, PT, shoe inserts…you name it but the pain is getting unbearable in my left heal. The X-rays show the bone calcification that is rubbing my tendon very clearly. I have been looking for sometime about a minor surgical procedure to take care of this issue. Can you tell me if you know of any surgeons in the USA that perform this? Any help would be greatly appreciated!
Sincerely
Mike B.
brehaa@gmail.com
Dear Mike,
Try contacting Dr Ortmann FW from the Department of Orthopaedics, University of South Carolina, 2 Medical Park, Suite 404, Columbia, SC 2203, USA. fredortmann@hotmail.com
I am not sure if he is the surgeon who does this procedure or if his colleague is the surgeon. Try to contact him and ask him.
Regards,
hc
I have a prominent rear heel spur causing me much distress. This shows clearly in X-Ray images. I have consulted with a foot specialist after trying all non evasive treatments, drugs, cold laser, ultra sound, custom shoe inserts, backless shoes, without improvement. He tells me surgery is the very last option I should consider as it will involve open surgery with cutting of the tendon and a long recovery time. I have read about Endoscopic Calcaneoplasty and was told that this procedure is not available in Vancouver, Canada, where I live. Can you advise if there is any surgeon you know of, preferably near to me, that can do this?? Your help would be greatly appreciated as I am in constant pain! Thank you.
Hi Alan,
I am not familiar with the doctors in Canada.
I suggest you google “Pubmed” which is a medical literature search engine.
Within Pubmed, you can search for papers on endoscopic calcaneoplasty and search for doctors who perform this surgery in north america.
Best of luck to you!
regards,
hc
Thank you for your response to my questions. Please advise the cost to operate on my heel if I fly to Singapore. I do have current x rays of both heels that I can provide to you.
Is there any chance of it just going away.
Yes. Sometimes the pain can resolve with rest and stretching of the achilles tendon.
Dr Chang I need your help….I am 61 male and been on my feet in sales all my life I have severe pain from a bone spur behind each Achilles tendon…I was looking for someone who does this Arthroscopy…I need a quick recovery….do you know anyone in Northeast Pennsylvania? or I could travel Jeff e mail jjosuweit@gmail.com
Hi Jeff,
I am not familiar with the geography of USA. But I know there is a Dr Clanton in Steadman’s Clinic in Vail Colorado who can perform this procedure.
Regards,
hc
I am considering this surgery. Are there any negative long term affects with having the bursa removed for a very active person? Will there be more wear and tear on the tissues due to not having a retrocalcaneal bursa?
Hey Nick,
I had extreme pain for years. I considered this and did some additional research. I found a Dr in the US that performed a procedure on both of my heals using Tenex and a bone marrow removal tool to remove the bone spurs behind the ach tendon. I was in major pain for 3 days. Was able to work and play as normal about 6 weeks later. I’m like 8 years removed and can run and play basketball Pain free- look into this- TENEX™ is a minimally invasive procedure that removes scar tissue from your tendon. It is an ultrasound-guided percutaneous needle tenotomy (PCNT) for treating tendinopathy. Tendinopathy is a kind of tendon degeneration, also sometimes called tendonosis or tendonitis. Good luck!