Painful Bunions – What You Can Do About Them!
What Are Bunions?
A bunion is a bony lump on the side of your foot at the big toe. It forms when your big toe starts to angle towards your second toe. The bunion eventually causes discomfort and pain. The skin over the lump can become red, blistered or infected. A fluid-filled space called a bursa may also develop under your skin in this area and this can be painful if it becomes inflamed. This is called bursitis.
What Causes Bunions to Form?
A bunion occurs as a result of a problem with your big toe known as hallux valgus. Hallux means the big toe and valgus means that it’s pointing outwards towards the other toes.
In hallux valgus the bone in your foot at the base of your big toe, called the first metatarsal, moves out at the side of your foot. Your big toe angles towards your other toes.
There is evidence that people can inherit a tendency to develop bunions. However, it doesn’t always follow that if your parents or grandparents have bunions, you will have them too. Studies have shown that 63-68% of people who have bunions have a family history of bunions. So, heredity definitely plays a part. You do not inherit the bunions, but you inherit the foot type that may lead to bunions. Certain foot types cause the bones to change position and go out of alignment. This in turn allows the muscles and tendons to take advantage over other muscles and tendons and over time these changes may lead to bunions. Take a look at the feet of your grandparents, parents, aunts, uncles, sisters and brothers. There may be bunions in your family that you were not aware of.
Hallux valgus affects more women than men. This may be because the ligaments in the foot (the structures that connect bones together) are usually looser in women than men.
The type of shoes you wear may also affect the development of a bunion. If you wear narrow or high-heeled shoes, this puts extra strain on the bones and muscles in your foot, pushing your toes together and forcing your big toe to point towards your other toes. Footwear alone doesn’t cause bunions, but it can worsen them.
It has been said that in places where people seldom wear shoes, bunions hardly ever forms.
What Are the Symptoms?
The bunion can rub against the shoe when walking and this can lead to pain, redness and swelling.
The 2nd toe can be crowded out by the deviating big toe leading the an over-riding 2nd toe.
The main problems are difficulty with shoe wear!
What Are the Available Treatments?
Use a broader shoe.
Ice treatment.
Anti-inflammatory medications.
Special insoles.
Toe spacers.
Surgery.
What Surgery Do I Do for Bunions?
There was many different types of surgical procedures described for the treatment of the painful bunion. There is no best surgery or best technique for this problem. The choice of the surgery is dependent on the patient’s problem as well as the surgeon’s personal preference and experience.
Scarf Osteotomy
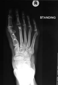
This is a lady with a painful bunion of her right foot and the 2nd toe has become over-riding.
This is the x-ray finding:
A scarf osteotomy was performed. It involved cutting the 1st metatarsal bone using a Z-cut and displacing the toe laterally.
This is the big toe at about 6 weeks after the surgery:
For more information on treatment of painful bunions, please contact Dr HC Chang at +65-683 666 36 or email hcchang@ortho.com.sg







