Triangular Fibrocartilage Complex (TFCC) Tear – Treatment by Arthroscopy
Wrist Arthroscopy for TFCC Tear (Ulnar-Sided Wrist Pain)
What Is TFCC?
- Triangular Fibro Cartilage Complex
- Found in the wrist joint
- It is the ligamentous and cartilaginous structures that suspend the distal radius and ulnar carpus from the distal ulna
Causes of TFCC Tears
- Falls onto pronated hyperextended wrist
- Power-drill injuries in which the drill binds and rotates the wrist instead of the bit
- Distraction force applied to the volar forearm or wrist
- Distal radius fractures
Symptoms of TFCC Tear
- Ulnar sided (i.e. little finger side) wrist pain
- Associated with clicking
Clinical Signs
- Painful grinding or clicking with wrist range of motion (ROM)
- Weakness
- Ulnar deviation of the wrist with the forearm in neutral produces ulnar wrist pain and occasional clicking (Perform a TFCC compression test.)
- Instability of the distal radioulnar joint (DRUJ) with shucking the distal radius and ulna between the examiner’s fingers
Piano key sign, which is a prominent and ballottable distal ulna with full pronation of the forearm - Ulnar carpal sag
- Lunotriquetral (LT) interval tenderness
- Positive LT ballottement or shuck test
- ECU tendon subluxation
Treatment
- Wrist arthroscopy
- Done under General Anaesthesia or Regional Anaesthesia
- 2 to 3 Small Incisions at the Wrist level
- Minimally invasive
Case Example
- Right handed lady who fell off a bicycle onto her right outstretched hand 2 months ago.
- Has ulnar sided wrist pain.
- Treated with wrist splint for 6 weeks but not better.
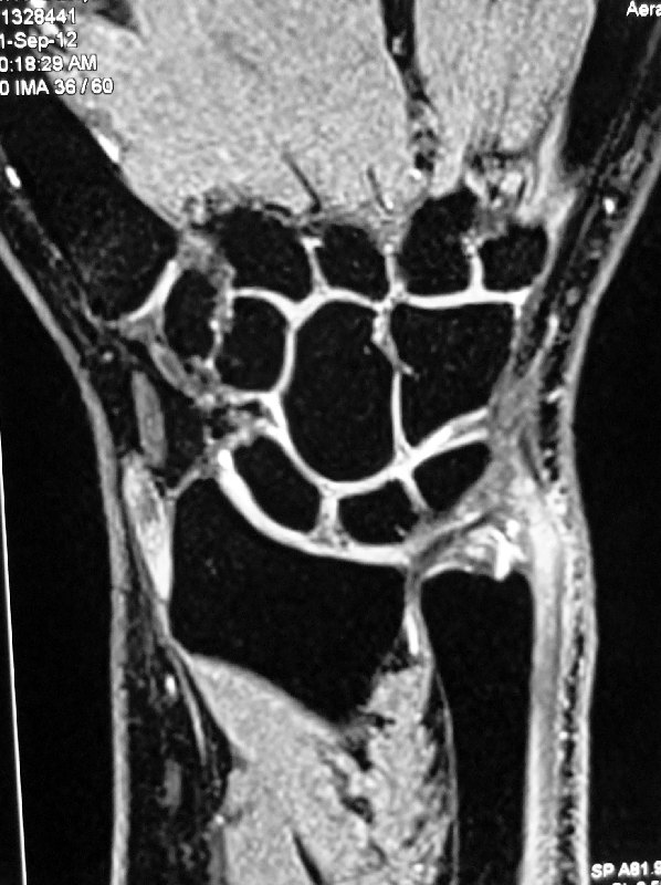
- MRI scan of her wrist showed a TFCC tear.
Treatment
- Wrist arthroscopy under regional block.
- Right Hand and Wrist was suspended with 8 lbs of traction.
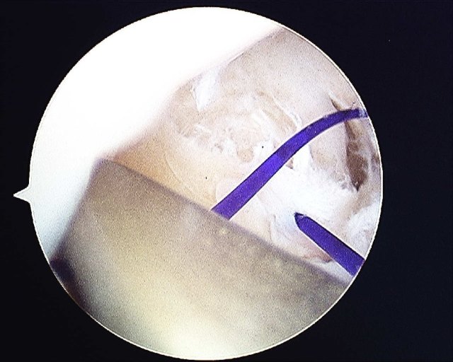
- The joint is entered using a 1.9mm arthroscope at the 3/4 portal.
- An outflow is achieved by inserting a 21G needle at the 6U.
- A working portal is created at 4/5 portal.
- The TFCC repair is done through a 6R portal which is enlarged.
- The tear is repaired with an outside in technique with PDS 3/0 suture. The Smith & Nephew’s TFCC Mender device is used to pass the sutures through the torn TFCC. The sutures are tied outside the capsule while the ECU tendon is being protected by an assistant.
- TFCC Tear – Palmer Type IB

A PDS 3/0 suture is passed into the joint and retrieved through the 4/5 portal using a small arthroscopic grasper

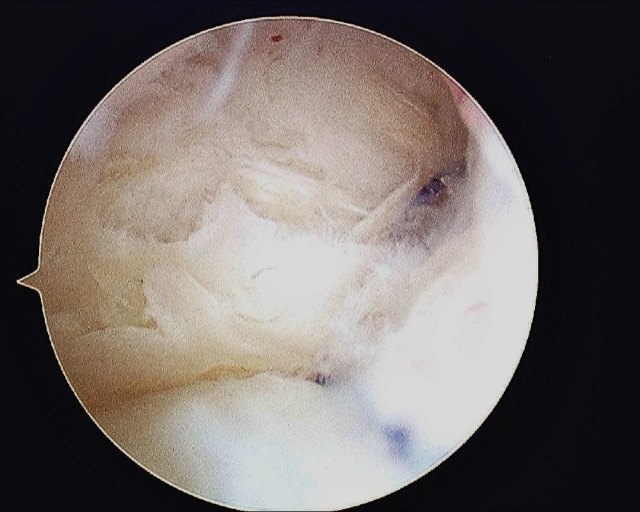
The cannula is passed into the joint again to pass a suture shuttle. I use the PDS 3/0 as a suture shuttle.

The 1st PDS suture that was passed through the TFCC is shuttled back into the joint and out of the capsule.
The wrist is immobilised in a backslab from above elbow to below the wrist with elbow at 90 degrees flexion and forearm in neutral rotation.
The plaster backslab is changed to a thermoplastic splint which is used to 3 weeks.
This is changed to a wrist brace for another 3 weeks.
Gentle range of motion exercises are started thereafter.
For more information on TFCC tears and wrist injuries, please contact Dr HC Chang at 683 666 36 or visit our website at http://www.ortho.com.sg












