Percutaneous Vertebroplasty for Painful Osteoporotic Compression Fractures of the Spine
Posted by Dr Chang Haw Chong on November 24, 2012 · Leave a Comment
Osteoporosis is a silent disease. Most sufferers do not know they have osteoporosis until they sustain a fragility fracture. This usually occurs with a minor fall which should not result in a fracture for a person with normal bone density. For those whose bone density is low, it may result in a fracture of the vertebra of the spine.
Osteoporotic compression fractures of the spine can be very painful. Sometimes the patient may not even remember having fallen as the impact was very minor. But they develop increasing back pain that restrict their activities.
Mdm P is 72-years old. She complained of lower back pain for 4 weeks. She could not remember any obvious fall prior to the onset of her pain. She consulted her family doctor but the pain medications given to her did not help to resolve her pain. In fact, the pain became worse over time and affected her ability to walk and do housework.
She was admitted to the hospital as she could no longer tolerate the severe pain.
X-rays of her lumbar spine showed a possible fracture of the L4 vertebra.
An MRI scan confirmed an osteoporotic L4 compression fracture.
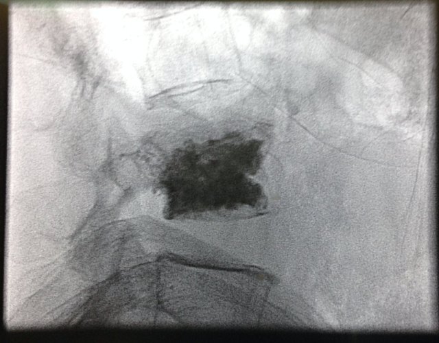
As she had multiple drug allergies and it was difficult to control her pain with oral medications, a minimally invasive procedure to inject bone cement into her fractured vertebra was suggested.
Mdm P was agreeable to this procedure and this was performed under x-ray (fluoroscopic) guidance with her being sedated by an Anaesthetist.
Mdm P was able to walk the same day of the procedure and she reported marked improvement in her lower back pain.
For more information on compression fractures and the treatment, please contact us at +65-683 666 36.




