Avascular Necrosis of the Hip Joint | Treatment with Total Hip Replacement
What is Avascular Necrosis (AVN) of the Hip?
Bones are living tissue, and like all living tissue they rely on blood vessels to bring blood to keep them alive. When disease or injury prevents the blood supply from flowing freely to a bone, cells in the bone begin to die. As the bone withers, the surrounding cartilage begins to deteriorate, producing pain and other symptoms.
Most living tissues have blood vessels that come from many directions into the tissue. If one blood vessel is damaged it may not cause problems, since there may be a backup blood supply coming in from a different direction.
But certain joints of the body have only a few blood vessels that bring in blood. One of these joints is the hip.
It usually strikes between the ages of 30 and 60, but can affect anyone at any age.
The disease, which has many causes, gets worse over time.
What Causes Avascular Necrosis of the Hip?
Avascular necrosis can follow a hip fracture or a hip dislocation.
It can also result from diabetes, kidney disease, alcoholism, gout, and steroid use.
High doses or prolonged use of steroid medications (e.g. for inflammatory arthritis) can lead to the problem.
Decompression sickness (which occurs when a person moves from a high-pressure environment to a low-pressure environment, as when a deep-sea diver ascends to the surface) is a well known cause of hip AVN.
Deep sea divers and miners who work under great atmospheric pressures also are at risk for damage to the blood vessels. The pressure causes tiny bubbles to form in the blood stream which can block the blood vessels to the hip, damaging the blood supply.
Excessive alcohol intake somehow damages the blood vessels and leads to AVN.
Sometimes, no cause can be found.
What are the Symptoms?
The first symptom of AVN is pain when weight is placed on the hip.
The pain can be felt in the groin area, the buttock area, and down the front of the thigh.
As the problem progresses, the symptoms include development of a limp when walking and stiffness in the hip joint.
Eventually, the pain will also be present at rest and may even interfere with sleep.
How to Come to a Diagnosis?
History – listen to the complaints of the patient. The patient will usually complain of pain in the groin, lateral hip, buttock or sometimes at the knee joint. The knee joint pain is due to a referred pain from the hip arthritis. The pain is usually worse with walking, standing or running.
Examination – The patient may walk with a limp (Trendelenburg’s gait). The hip joint may be stiff compared to the normal side. The affected leg may be shorter than the normal leg.
Investigations – X-rays of the pelvis and hip joint will usually clinch the diagnosis. In very early case of AVN hip, the x-rays of the hip may appear almost normal. In these cases, MRI scan of the hip may be required. MRI scan can also show us if there is any AVN disease in the contralateral hip. Bilateral hip AVN is not uncommon especially in those due to high dose steroid use.
What are the Treatment Options?
The treatment depends on the severity of the disease.
The severity of the disease is usually classified using the Ficat Classification.
Conservative Treatment (Non-Surgical) Options
Conservative treatment may delay surgery for some patients.
Conservative approaches include using medicines such as Nonsteroidal anti-inflammatories (NSAIDS) to help reduce pain. Examples are Ponstan, Voltaren, Arcoxia, Celebrex etc.
If AVN is detected early, limiting activities, keeping weight off the affected joint and the use of crutches can sometimes allow the joint to naturally rebuild and slow the damage caused by AVN.
Range-of-motion exercises can also be used to maintain the use of a joint. Heat may be used to help ease the pain caused by the disease.
Surgical Treatment for AVN
Although conservative treatments can slow the damage caused by AVN and can be effective in the short term, in the long term, surgery may be the only option to repair damaged joints.
There are four main surgical treatment options for AVN:
Core Decompression with Bone Grafting – A surgeon removes the inner layer of bone, which reduces pressure in the bone and increases blood flow, allowing more blood vessels to form. This procedure works most effectively for patients who are in the early stages of AVN, thus highlighting the importance of diagnosing the condition early before a joint collapses.
Healthy bone is removed from one part of the body, such as the leg, and grafted onto the diseased area to strengthen it.
Osteotomy – A procedure during which the surgeon may opt to reshape the bone to reduce stress on the area affected by AVN. With this procedure, the recovery time is usually long, three to 12 months, with the patient’s activity extremely limited during this period. Surgeons usually elect to perform an osteotomy when a patient has advanced AVN and a large area of bone has been affected. This procedure is rarely offered or done in Singapore.
Arthroplasty or total joint replacement – This common procedure is used if a joint has been destroyed by AVN. The diseased joint is replaced by an artificial joint. There are several types of replacements available.
Case Example
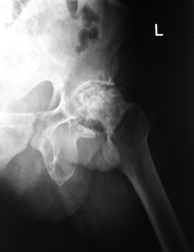
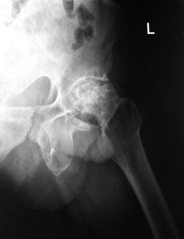
This is a patient who was treated with high-dose steroid for almost 6 months for an auto-immune disease.
He presented with pain in his hip a year later. X-rays showed severe osteoarthritis of his left hip due to AVN.
He tried pain killers and activity modification. This helped initially but the pain in the hip continued to progress.
His limp was also causing pain in his lower back.
He eventually agreed to undergo a left total hip replacement surgery.
This is the picture of how the femoral head looked like after it was removed:
A left total hip replacement was done.
He was able to start walking using the help of a walking frame a day after his surgery. He was able to walk with a single cane on his right hand by a week after the surgery. He was walking without aids by the 3rd week of the surgery.
The main satisfaction that he experienced was the removal of the persistent hip and groin pain from the osteoarthritis. He was also able to walk with less limp. The limp will eventually resolve once his hip muscles improved over time.
For more information on treatment of hip osteoarthritis, avascular necrosis of the hip joint, please visit us at http://www.ortho.com.sg or call us at +65-683 666 36. Dr Chang can also be contacted at hcchang@ortho.com.sg








