Hip Arthroscopy for Septic Hip | Bacterial Infection of the Hip Joint in Children
Septic Hip refers to a bacterial infection within the hip joint. It can occur in newborn infants to older children. It can sometimes be due to fungal infection.
How Did the Hip Get Infected?
The joint can become infected with germs that travel through the bloodstream from another part of the body e.g. a skin boil, from a chest infection or from a urine infection.
Septic arthritis can also occur when a penetrating injury brings germs directly into the joint.
What Are The Symptoms?
- The hip joint becomes painful and the child will refuse to move that hip and leg.
- The child may walk with a limp or refuse to walk entirely.
- The pain can sometimes be felt in the knee joint due to referred pain.
- The infection will usually result in fever.
Is It Serious?
Septic arthritis can quickly and severely damage the cartilage and bone within the joint, so prompt treatment is crucial. It is a true Orthopaedic emergency.
The lining of the hip joint (synovium) has little ability to protect itself from infection. The body’s reaction to the infection causes inflammation that can increase pressure and reduce blood flow within the joint . This can result in death of the cartilage or bone.
There is a risk of post-infective osteoarthritis of the affected hip joint in the future.
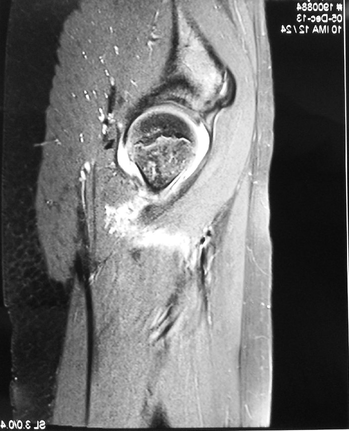
How To Diagnose?
An ultrasound scan or an MRI scan of the hip joint can be done.
Surgical Treatment
It is important to culture the causative bacteria before starting antibiotics.
Surgery to wash out the infected hip joint is often necessary and should be done as an emergency once the diagnosis is confirmed.
Traditional treatment included an open surgery through the front of the hip joint to drain the infection and wash out the joint.
I prefer to perform a keyhole procedure to treat the infection in the hip. This involves hip arthroscopy.
Two tiny holes are created to allow visualisation of the inside of the hip joint.
The fluid obtained from the hip joint showed pus.
The hip joint as viewed using the arthroscopic camera:
The joint is thoroughly irrigated with fluid to wash out the bacteria and pus.
Any infected tissue inside the joint can be debrided with an arthroscopic shaver.
A drain is inserted into the left hip joint to allow drainage for the next few days. It can be removed in the ward once the infection is under control.
Prognosis
Early surgical intervention after prompt diagnosis of this condition will give the patient the best chance of a normal hip.
There is still a chance of post-infection degeneration of the hip joint in the future and the patient needs to be followed up for the next few years.
For more information on hip arthroscopy, please contact us at +65-683 666 36 or visit us at http://www.ortho.com.sg








