Anterior Knee Pain or Kneecap Pain
Anterior knee pain is a common condition. I see almost 2 to 3 patients with this problem in my clinic each day. The patient will usually place their hands onto the front of the knee when asked where the pain comes from. This is the hallmark of this condition.
The pain can affect one knee or it can affect both knees.
Patients usually complain of pain when walking up or down the staircase or when performing squats. The pain is less or absent when walking on level ground. There is a perfectly good reason for this.
Studies have shown that the forces going through the kneecap during level ground walking is 0.5 times body weight. When walking up the stairs, the force going though the kneecap increased to 2.5 times body weight. When walking down the stairs, it increases further to 3.5 times body weight. Hence it is quite common to hear from patients that the anterior knee pain is worse with walking down the stairs than when walking up. Squatting generates 7.5 times body weight force across the kneecap and can be quite painful for these patients.
Another common finding is pain in the front of the knee when getting up from a sitting position after a long movie (called cinema sign) or long bus ride.
The cartilage in the patella (kneecap) is the thickest in the entire body. Despite this fact, the kneecap is a very common source of knee pain. The possible causes include
- overload/overuse e.g. walking up and down staircases repeatedly
- lateral patella maltracking and tightness of the tissues around the kneecap – this is particularly common in runners or cyclists
- intrinsic problems with the kneecap cartilage – chondromalacia patella
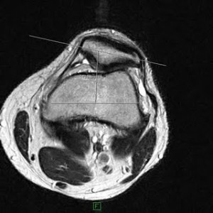
This MRI shows the kneecap of the left knee moving outwards away from the central groove. This can be due to tightness of the lateral knee structures and muscles.
Anterior knee pain can be effectively treated. The first key to successful treatment is to identify the causes of the kneecap pain.
For information on how to get rid of your anterior knee pain, call us for an appointment at 683 666 36 or email hcchang@ortho.com.sg.
Visit us at www.ortho.com.sg


