Knee Pain – Could it be a Meniscus Tear?
The meniscus is a crescent shaped piece of fibro-cartilage between the ends of the thigh bone and shin bone inside the knee joint. Each knee has 2 menisci – a medial meniscus and a lateral meniscus. The meniscus serves as a cushion or shock absorber between the ends of the bones that meet in the knee joint.
The role of the meniscus is crucial to the functional health of the knee joint. Being a shock absorber, the meniscus protects the articular cartilage of the knee joint from prematurely wearing out. In other words, the meniscus has a “chondro-protective” effect on the knee cartilage. A knee with worn out cartilage will have arthritis symptoms of knee pain, stiffness and difficulties with walking.
A meniscus can tear due to sport injuries. Twisting injuries of the knees such as from football, basketball, rugby etc can lead to meniscus tears. In some patients, the meniscus tear is related to major knee ligament tear such as a rupture of the anterior cruciate ligament (ACL).
In older patients, the meniscus substance can undergo degeneration and tear with minor injuries e.g. performing a deep squat. These tears are termed degenerative tears.
Occasionally I see patients who have congenital malformations in their meniscus which predispose to tears. These meniscus are discoid shaped and not crescent shaped. We termed these “Discoid Meniscus” and they tend to be on the lateral meniscus and can tear easily causing symptoms of pain and/or knee jamming.
Patients can present with joint line pain, swelling of the knee joint and posteriorly sited knee pain with deep squats. Occasionally the torn portion of the meniscus displaces into the central area of the knee and causes jamming or locking.
Diagnosis can be made via clinical examination of the knee. It is confirmed by MRI scan of the knee.
The treatment of meniscus tear is generally surgical. Arthroscopy (key-hole surgery to the knee joint) is the gold standard for treating meniscus tears.
Surgery can result in one of two outcomes for the meniscus. The torn meniscus is either repaired or the torn portion is removed.
A favourite question from my patients would be: “If the meniscus is so important, why do you remove it?”
The problem is the torn part of the meniscus no longer functions properly as a shock absorber. Instead it is a source of knee pain and inflammation. The torn portion also acts as a pepple in a shoe, causing damage to the articular cartilage. Hence in such situations, the reasonable option is to remove the torn portion and preserve as much functional meniscus tissue as possible.
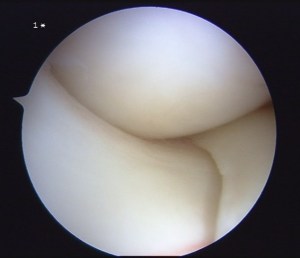
This is a video showing the surgery to remove a torn portion of a lateral meniscus.
If at all possible, the torn meniscus should be repaired.
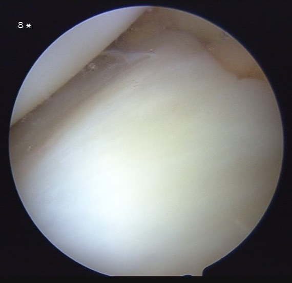
Inside-out repair of the torn meniscus.
A re-look arthroscopy in 3 months’ time showing healed meniscus.
If you need to have your painful knee examined for meniscus tears, please make an appointment at 683 666 36 or email hcchang@ortho.com.sg.
Visit us at www.ortho.com.sg
Comments
3 Responses to “Knee Pain – Could it be a Meniscus Tear?”Trackbacks
Check out what others are saying...-
[…] Knee Pain – Could it be a Meniscus Tear? April 2010 3 […]







I get excruciating pain in my chin part of the front of my leg in the middle of the night. Could that be caused from the knee also?
Dear Debra,
The pain in the shin of your leg is unlikely to be due to a knee problem unless it is in the proximal 1/3. Possible cause include pes anserinitis.
Regards,
hc