Falling on the Outstretched Hand – A Case of Trans-Scaphoid Perilunate Dislocation
Acute fracture-dislocations of the wrist bones are uncommon.
These injuries can result in wrist pain and dysfunction as a result of progressive traumatic arthritis.
Of all the wrist dislocations ,the perilunate dislocation is most common and the most common pattern is trans-scaphoid parilunate fracture dislocation.
Most patients are young males and mode of injury is hyperextension injury to the wrist following a motor vehicle accident, contact sports or fall from height.
I was called to the Emergency Room to see a 29 year old male who injured his left wrist due to a fall on an outstretched hand while playing ultimate frisbee.
His left wrist was swollen and deformed. He was in pain.
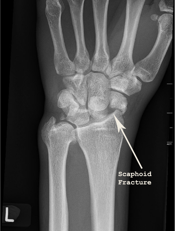
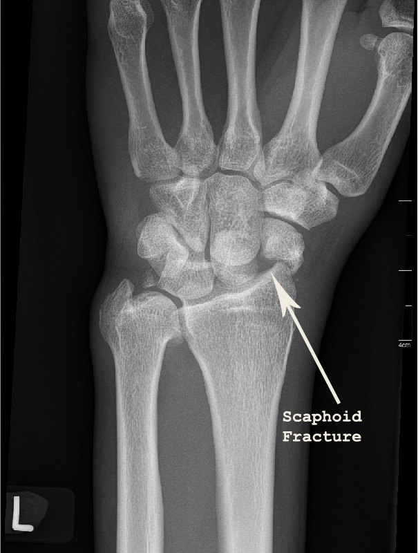
X-rays of his left wrist showed a fracture through the scaphoid bone of the wrist together with dislocation of the lunate bone. The diagnosis was a trans-scaphoid peri-lunate fracture dislocation.
Due to the dislocation of his left wrist, the nerve in the front of the wrist (median nerve) was being compressed and it was causing him numbness of the left hand.
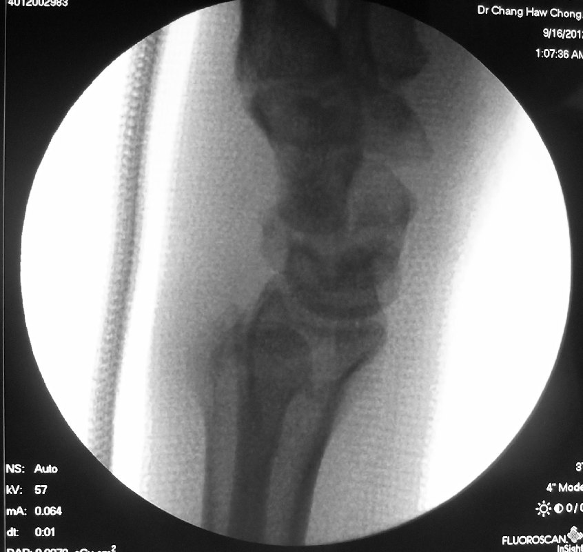
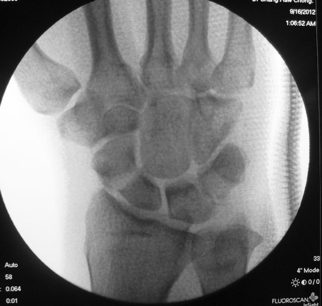
There dislocation was immediately reduced under sedation and with fluroscopic confirmation.
For definitive treatment of this injury, the patient required an open reduction and fixation of the scaphoid fracture together with reduction and stabilisation of the luno-triquetral joint to allow the lunotriquetral ligament to heal.
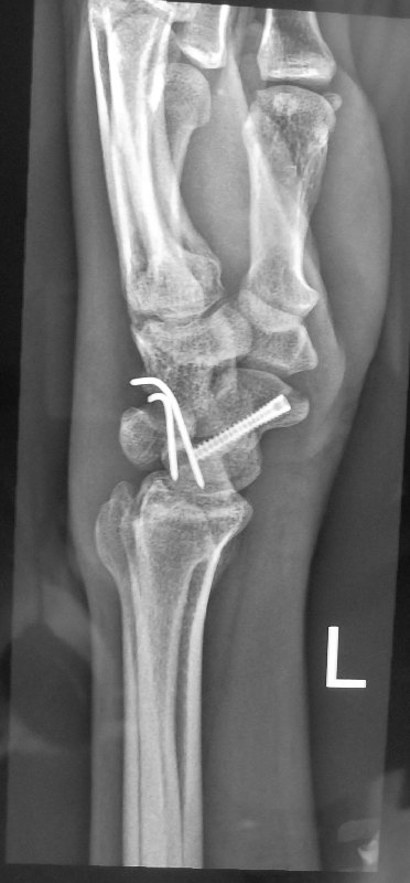
This is how the x-rays looked like after the surgery:
The fracture went on to heal over the next 2 to 3 months. This is how it looked like after the scaphoid fracture had healed.
The 2 wires along the luno-triquetral joint were surgically removed at 3 months after the surgery.
The patient underwent hand occupational therapy and achieved a very good result.
For more information on hand and wrist fracture or dislocations, please contact Dr HC Chang at +65-683 666 36 or email us at hcchang@ortho.com.sg








