Avascular Necrosis of the Knee Joint | Role of a Partial Knee Replacement
What is Avascular Necrosis of the Knee?
Avascular necrosis is a disease resulting from the temporary or permanent loss of blood supply to the bones.
Without blood, the bone tissue dies, and ultimately the bone may collapse.
If the process involves the bones near a joint, it often leads to collapse of the joint surface.
Avascular necrosis is also known as osteonecrosis, aseptic necrosis, and ischemic necrosis.
It can affect the knee, hip and other bones of the body.
What are the Symptoms?
Pain. Sometimes the pain is so severe that the sufferer cannot put weight on the affected knee and cannot walk properly.
The affected knee will usually swell up as well.
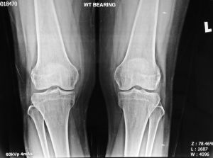
How Does the X-ray Look Like?
In the early stage, the knee x-rays may look normal.
If the x-rays look normal but the pain is severe, always consider a diagnosis of AVN knee.
An MRI scan of the affected knee will be most useful.
In later stages, x rays may show bone damage and collapse.
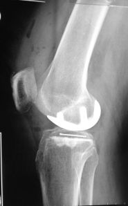
What Did I Do for this Patient?
This patient had severe pain and swelling of her right knee for about 3 months before consulting me. She is 56 years old.
She has tried pain killers, physiotherapy and use of crutches but her condition did not improve.
I performed a partial knee replacement for her.
Her pain improved significantly after the surgery and she was able to walk almost immediately.
What Causes AVN of the Knee?
It can be due to use of high dose steroids or prolonged use of steroids for whatever reasons. It can be secondary to chronic alchohol use.
I have seen such cases from root tear of the medial meniscus.
In most patients however, there is no known cause.
For more information on this topic or on partial knee replacements, do visit our website at http://www.ortho.com.sg or contact us at +65-683 666 36.





