Regaining Ability to Walk after a Periprosthetic Fracture of the Knee
An elderly lady presented with severe pain, deformity and swelling of her right knee after a fall when she slipped on a wet floor. She was not able to stand or walk.
She has a history of right knee osteoarthritis with a total knee replacement done more than 20 years ago.
She was able to walk prior to this accident.
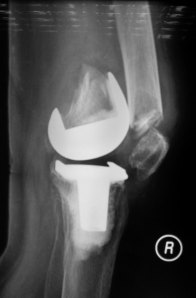
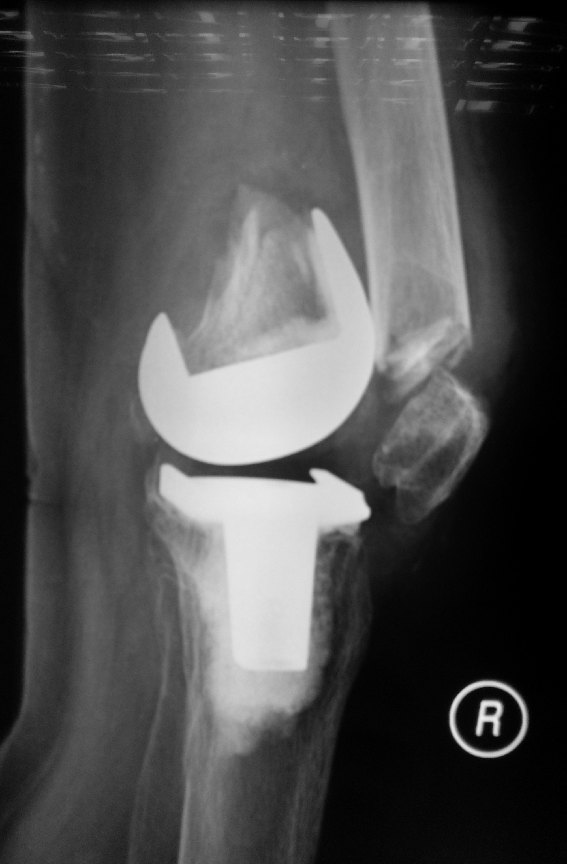
X-rays showed a fracture of the right distal thigh bone (femur) at the position of the previous knee replacement implant.
This patient’s bone was osteoporotic.
Decision to revise the knee replacement using a rotating hinge knee from Zimmer was made.
During surgery, the fractures distal femur piece with the femoral implant was excised.
The tibial implant was also extracted.
A Zimmer Segmental System Knee was implanted.
The Zimmer® Segmental System is designed to address patients with significant bone loss often found in oncology, trauma, and/or multiple revisions.
It consisted of distal femoral components, a one-piece hinge post, tibial articular surfaces, male-female and male-male segments, fluted straight and bowed stems, and stem collars with either Trabecular Metal™ Material or a smooth titanium surface.
This surgery allowed immediate stability of the knee. The patient was able to get up to stand and walk once the surgical pain was better.
This is an excellent solution for an elderly patient with osteoporotic periprosthetic fracture of the knee.
For more information on knee replacement surgery, please visit our website at http://www.ortho.com.sg or contact Dr HC Chang at +65-683 666 36.






