Bicompartmental Knee Makoplasty – Robotic Partial Knee Replacement
Makoplasty
The procedure is performed through a four to six inch incision over the knee. Tactile, intelligent robotic arm technology and 3-D visualisation of the knee guides the surgeon in controlled resurfacing of the pre-defined knee disease, saving as much of the patient’s healthy bone and surrounding tissue as possible.
Computer modeling of the patient’s pre-surgical plan using CT scan data and, during the procedure, real-time visual, tactile, and auditory feedback facilitates ideal implant positioning and placement. It is this level of planning and surgical accuracy in treating earlier stage knee osteoarthritis that can result in a more natural feeling knee and motion.
Bicompartmental Knee Makoplasty
A 67-year old man presented with severe pain in the inner aspect (medial aspect) of his left knee. This was associated with stiffness, locking and swelling of the left knee.
Examination of his left knee showed full knee extension and flexion. There was an effusion (fluid inside the knee). There was exquisite medial joint line tenderness. Crepitations of the kneecap was also felt. The cruciate ligaments of his left knee were clinically intact.
X-rays showed mild narrowing of the medial compartment of his left knee. In addition, there was an obvious severe osteoarthritis of the patellofemoral joint (kneecap joint).
On direct questioning, the patient admitted to having occasional anterior knee pain especially on walking down the stairs.
An MRI scan of his left knee showed a root tear of the posterior horn of his medial meniscus with loss of hoop stress, extrusion of the medial meniscus together with subchondral oedema of the medial tibial-femoral compartment and thinning of the cartilage of the medial compartment of his left knee.
In addition, the osteoarthritis of the kneecap compartment was also seen.
The MRI also confirmed that the lateral knee compartment was healthy and that the central cruciate ligaments were intact.
This patient could have been offered a conventional left total knee arthroplasty.
However, I wanted to give him a knee with a more “normal” feel by resurfacing the painful compartments while preserving the knee ligaments to maintain “normal” knee kinematics.
I performed a bicompartmental knee Makoplasty on this patient.
The size and position of the knee implants were planned pre-operatively and confirmed intra-operatively.
A standand midline incision and medial parapatellar approach was used. The osteoarthritis was confirmed to be mainly affecting the medial and patellofemoral compartments of his left knee.
Registration of the knee were done and the Makoplasty RIO robotic arm was prepared.
Burring of the bone were completed using the RIO robotic arm.
Trial implants showed good positioning of the implants.
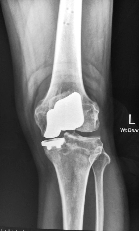
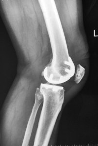
Post-operative check x-rays showed excellent alignment of the implants.
The patient was able to recover rapidly over the next 4 to 6 weeks.
This is his result at about 6 weeks post-surgery:
For more information on robotic assisted partial knee replacements or Makoplasty, please contact us at +65-683 666 36 or email us at hcchang@ortho.com.sg. Do visit us at makoplasty.sg














