Can Slipped Disc Get Better by Itself without Surgery?
Lumbar Spine
The lower back bones are made up of a series of vertebrae that are connected from one segment to the adjacent segment via an intervertebral disc.
This disc can sometimes pop out or slip out to cause pain in the back and the leg.
Sciatica a.k.a. leg pain
When a disc slips out to the back, it presses onto the nerves that comes out from the spinal canal.
These nerves comes out of the spinal canal to supply the muscles of the legs.
Hence by compressing on these nerves, the patient will have severe pain shooting down the leg.
Causes of Slipped Discs
Pain from a slip disc is often the result of daily wear and tear on the spine.
However, it may also be caused by an injury e.g. playing golf, carrying heavy loads.
A slipped disc can occur slowly over time, taking weeks or months to reach the point when you feel you must seek medical attention.
Or, pain may occur suddenly from incorrect lifting or twisting that aggravates a weak disc.
Treatment
Conservative e.g. pain killers, physiotherapy
Minimally invasive treatment e.g. nucleoplasty
Surgery e.g. discectomy
Can Slipped Disc Heal by Itself without Surgery?
The answer is YES. In some cases, the disc can resorb without surgery.
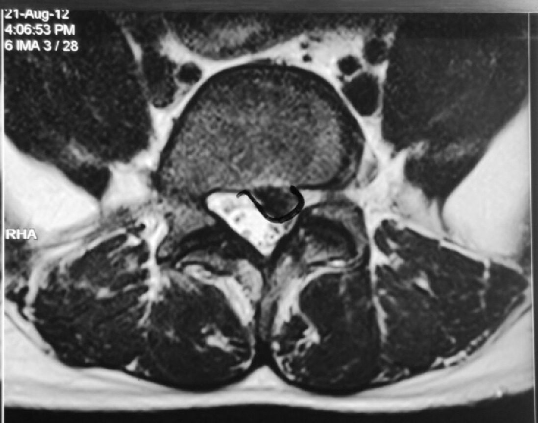
This is a patient who presented with sciatica in his left leg from a L5/S1 posterolateral left sided slipped disc in 2012.
He was offered surgery but chose conservative treatment.
His pain eventually resolved over a period of 3 to 6 months after taking medications and undergoing intensive physiotherapy.
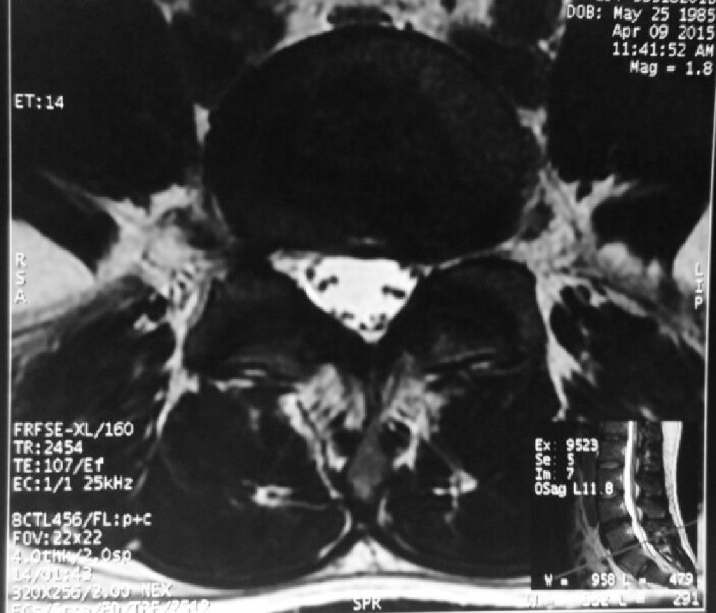
The same patient underwent a new MRI scan of his lumbar spine in 2015 for lower backache. There was no sciatica in his lower limbs.
The MRI showed resorption of the previous large left sided slipped disc.
What The Literature Tells Us
Dr T Masui and co-workers studied the “Natural history of patients with lumbar disc herniation observed by magnetic resonance imaging for minimum 7 years.”.
Twenty-one patients with lumbar disc herniation treated non-surgically were followed for a minimum of 7 years and investigated with regard to their clinical outcome and the initial, 2-year, and final stage MRI findings. The space-occupying ratio of herniation to the spinal canal and the degree of disc degeneration were evaluated on serial MRI.
The mean space-occupying ratio of herniation showed significant reduction both on the 2-year and on the final scans.
Progression of degeneration of the intervertebral disc was seen in all patients at the final investigation.
Comparing patients with and without symptoms, no factors were detected on the initial and 2-year MR images capable of distinguishing patients who were and were not destined to develop lumbago and/or sciatica in the future.
Morphologic changes of lumbar disc herniation continued to occur even after 2 years.
Take Home Message
Herniated or slipped lumbar discs causing leg pain (sciatica) can sometimes resorb and improve both symptomatically and on MRI scan over time. The disc is expected to continue to degenerate and cause lower back pain symptoms.
For those patients whose sciatica do not improve with conservative measures, surgical treatment such as lumbar discectomy is still an excellent procedure.
For more information of lower back pain, slipped disc diagnosis and treatment, please contact us at +65-683 666 36 or email hcchang@ortho.com.sg




