ACL Tears – What Can Happen If Left Untreated?
The anterior cruciate ligament (ACL) provides anteroposterior and rotatory stability to the knee during activities such as pivoting. An example of a pivoting activity is the sudden change in running direction during football or basketball.
Loss of the function of the ACL in the knee leads to sensations of the knee “buckling” or “giving way“. The knee may become unstable.
Some patients with very strong thigh and hamstring muscles may not experience this problem. However, many other patients will, at one point or another, have sensation of the ACL-deficient knee giving way.
There is convincing evidence that an active individual with a nonfunctional ACL is susceptible to meniscus injury. There is also the risk of more tears occurring with time. In a study by Satku et al on the “Natural History of ACL Injuries”, 68% of their study cohort lost at least one meniscus after more than 5 years of follow-up. The loss of meniscus increases the load per unit area on the cartilage surface as the contact area reduces. This resulted in increased cartilage wear with strenuous activities or sports. Satku et al showed only 11% incidence of radiographic changes in patients with ACL-deficient knees with no evidence of meniscus tears compared with 100% in those having meniscectomy more than 5 years previously. Hence ACL-deficient knees over the long-term tends to have meniscus tears which will lead to radiological evidence of osteoarthritis.
The activity level of the ACL-deficient patient usually reduces after the injury. A study by Muadi et al from University of Sidney, conservatively managed ACL-deficient knees have a good short- to mid-term prognosis in terms of self-reported knee function and functional performance. However, subjects reduced their activity levels on average by 21% following injury.
A study by Nebelung et al published in Arthroscopy journal in 2005 showed the incidence and progression of osteoarthritis over a time period of 35 years following anterior cruciate ligament (ACL) disruption in high-level athletes. Their retrospective study looked at 19 athletes in the Olympic program of former East Germany who sustained an ACL injury between March 1963 and December 1965 who were treated without reconstruction. The clinical results were evaluated for all patients from 1975 and 1985 and for 17 of the 19 patients in 2000; 18 of the 19 patients were examined arthroscopically in 1985. They found that all patients were able to return to sports after a period of 6 to 14 weeks. Ten years after the injury, meniscectomy had to be performed in 15 of the 19 patients (79%). The medial meniscus was affected in 13 patients (68%) and the lateral in 7 (37%); 20 years after the injury, meniscectomy was necessary in 18 of the 19 patients (95%). In 1985, in 18 of the 19 knees, arthroscopy was performed and 13 patients (68%) had a grade 4 chondral lesion. Ten total knee replacements had to be performed until the end of the year 2000. They concluded that, despite the possibility of return to high-level activity with a definitive unstable knee, this will lead in 95% of cases to meniscal and cartilage damage over the next 20 years. In addition, cartilage damage and progressive osteoarthritis will occur and patients will have a high risk of becoming a candidate for further total joint replacement.
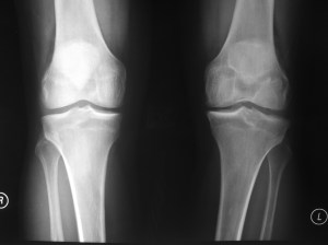
The left knee ACL has been torn for over 10 years while the right knee had an ACL tear just 1 month ago. The above x-rays showed mild narrowing of the left knee medial compartment joint space compared to normal looking joint space in the right knee.
This is an example of knee osteoarthritis from chronic ACL tear.
For more information on ACL injuries, please call us at 683-666-36 or email hcchang@ortho.com.sg.
Visit us at www.ortho.com.sg
Comments
9 Responses to “ACL Tears – What Can Happen If Left Untreated?”Trackbacks
Check out what others are saying...-
[…] ACL Tears – What Can Happen If Left Untreated? April 2010 4 […]


What happens with a meniscus problem if gone untreated? Does the inside of the knee continue to get worse? I am taking 6-8- Ibprophen a day.
Jim
Will my knee get more damage if I do not have surgery?
Jim
While playing soccer, I planted and twisted my knee. The athletic trainers told me that I might have torn my ACL. It has been 3 years since that happened and I have never went to the doctor for it. Sometimes when I exercise it will pop. This happens if I jump and then squat. Should I go to the doctor ASAP?
It could be ACL tear or meniscus tear. I would suggest that you see a doctor.
Doctor can an ACL that has gone untreated/repaired cause osteoarthritis of the spine and myofascial pain syndrome? Mine wasn’t repaired until 4 years later when it was causing me problems and I had to insist on it being repaired.
Dear Dianna,
Untreated ACL tears can result in meniscus injuries and subsequent knee osteoarthritis, not spine osteoarthritis or myofascial pain syndrome.
Regards,
hc
First, I’d like to say “thank you for your time. It is very much appreciated.” I had an accident at work & hyperextended my right knee. MRI revealed multiple issues; 1. Grade 2 sprain & partial tear of MCL. 2. Mucoid degeneration of ACL. 3. Patellar tendon-lateral femoral condylarths friction syndrome. 4. Edema around medial retinaculum & phyologic amount of fluid.
It has been 4 weeks since injury & knee pain is significant. I’ve regained some ROM but still cannot straighten my leg or bring my knee to my chest. And certain areas of the knee are still very sensitive to the touch & very painful. Especially the knee cap & inside of the knee. I have yet to see an orthopedic doctor or even have my follow up appointment to review my MRI. I got my MRI report off the hospitals website two days after my MRI but have yet to even be scheduled for my follow apt. And I am quite worried. I have researched everything in my MRI report on my own & am worrried that the amount of time passed since the injury is going to have negative implications & cause more issues within my knee joint & negativity effect the situation as a whole?
So my exact questions are; 1. Does the delay in between the initial injury & treatment/possible surgery potentially make injury worse? 2. Should I expect arthroscopic surgery?
Also, this may or may not be pertinent but I did have ACL surgery in the same knee in 2004?Thank you so much for your time & expertise. I am 38yrs old with young children & do not want this to be a long term problem & lead to possible osteoarthritis & eventually a full knee replacement. And I am just getting any answers or even adequate care here at my attending doctor.
Respectfully,
Ryan Paulis
Dear Ryan,
The pain is largely from the injury to the MCL. The pain from MCL injury makes it difficult for you to fully extend your knee and flex it.
The treatment is to take oral anti-inflammatory medications, see a good physiotherapist to help you obtain full knee extension, and then full knee flexion (in that order).
A knee brace (with 2 side bars) can help for the 1st 6 weeks. As your injury is already 1 month old, it may not be so useful now.
I do not think you have done anything bad to your knee by delaying your treatment.
However, do go and see your Orthopaedic doctor for an examination and opinion.
What I say here is done without the benefit of examining your knee and may not be accurate.
Regards,
hc