Robot Assisted Uni-compartmental Knee Replacement – Improving Consistency and Precision
Posted by Dr Chang Haw Chong on July 12, 2013 · Leave a Comment
Uni-Compartmental Knee Replacemen / Partial Knee Replacement
A uni-compartmental knee replacement is an excellent option for a person who has knee pain from osteoarthritis (worn-out cartilage) involving mainly one of the 3 knee compartments.
Unlike a total knee replacement where the central ligaments (anterior and cruciate ligaments) of the knee are removed and arthritic part of the knee is cut off to be replaced by metal components and plastic, a uni-compartmental knee replacement is a type of partial knee replacement where the ligaments of the knee joint are preserved. Only a portion of the knee is replaced by metal and plastic.
This allows the knee to maintain a more ‘normal’ feel after the surgery.
Use of Robotic Arm During Surgery
It can only be good news for our patients when the surgeon is able to use advances in technology to improve surgical precision for a consistently predictable result when performing a partial knee replacement.
MAKOplasty allows for a consistently reproducible precision.
- It allows for a bone/ligament sparing solution designed to restore the feeling of the natural knee.
- Pre-operative and intra-operative soft-tissue planning provides a naturally balanced and aligned knee throughout full range of motion.
- The anterior cruciate ligament and posterior cruciate ligaments are preserved to retain function and proprioception.
- Resurfacing technique (the cutting technique) provides accurate implant fit while preserving the ability to change to a primary knee replacement if disease progresses in the future.
- The Robotic Arm Interactive (RIO) technology enables optimal results with a level of precision (within 0.5mm of accuracy) unattainable with conventional instrumentation.
Why MAKOplasty?
- The potential benefits to patients include:
- Greater range of motion post-surgery.
- Less blood loss, less need for post-surgery blood transfusion.
- Reduced hospital stay.
- More rapid recovery and easier physical therapy.
- Less scarring.
- A more natural feeling knee.
How Does It Work?
- CT-scan derived patient-specific 3D modeling to accurately plan implant size, orientation, and pre-operative alignment.
- Real-time intra-operative adjustments for correct knee kinematics (knee movements) and soft-tissue balance prior to resection (cutting).
- Surgeon-interactive technology with 3D visualisation for controlled resurfacing within pre-defined planned resection volume.
- Contoured, multicompartmental ressurfacing implants that mimic the normal anatomy.
Case Study
A 52 years old lady presented with pain in her left knee associated with swelling. Clinical examination and investigation shows a medial meniscus posterior horn root tear with cartilage wear of the medial femoral condyle.
She underwent left knee arthroscopic partial medial menisectomy and microfracture of the medial femoral condyle.
Her knee pain did not improve and her knee remained swollen.
A repeated MRI scan of the left knee showed that the cartilage defect in the medial femoral condyle did not cover up with fibrocartilage.
She consented to a left knee medial compartment uni-compartmental knee replacement using MAKOplasty.
This is the intra-operative picture showing the loss of articular cartilage in her medial femoral condyle causing persistent pain and swelling affecting her ability to stand and walk.
Intra-operative Planning Using Computer Navigation
Here I can choose to change the size of the implant, orientation etc. It allows me to make the best decision for my patient before I even do the final cutting.
The Robotic Arm is controlled by me but the robot ensures that I burr only the areas of the bone that I had pre-determined. It ensures accuracy of the bone resection to within 0.5mm accuracy. This is the beauty of using the RIO robot.
The computer navigation screen tells me which part of the bone is being resected. It allows me to complete the resection accurately and efficiently.
This is how the bone looks like at the completion of the burring stage:
The trial implants are inserted and the accuracy of the implant placement can be checked using the computer navigation again.
The surgery took about 90 minutes to complete. There was very little blood loss.
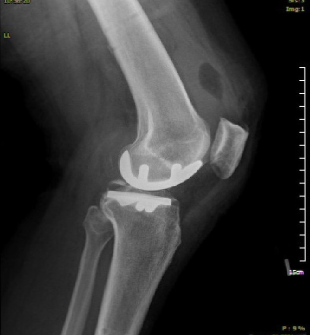
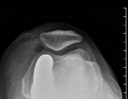
These are the x-rays with the implants in:
The Makoplasty technique using Robotic-Arm and computer navigation allowed me to perform this procedure with confidence, precision and predictable results.
For information on Makoplasty, Uni-compartmental Knee Replacement or Robot-assisted Knee Replacement Surgeries, please contact Dr HC Chang at hcchang@ortho.com.sg or call us at +65-683 666 36.












