Radial Head Replacement
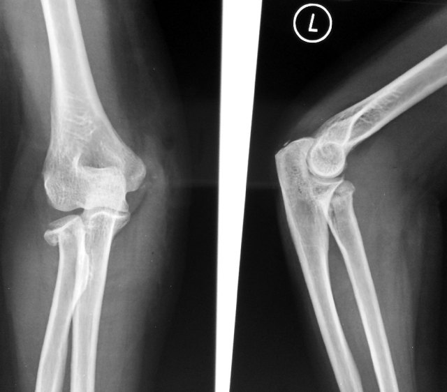
Radial Head Fractures
Radial head fractures are among the most common elbow fractures occurring in up to 20% of all elbow injuries.
30% have associated soft tissue or other bony injuries e..g. ulnar fractures
Mechanism of injury
Radial head fractures occur because of:
- fall on outstretched hand
- forearm in pronated position
- axial load created across elbow
Symptoms
The patient will have pain and swelling of the affected elbow. Movement especially in forearm rotation (pronation and supination) are especially difficult and painful.
Problems if Not Properly Treated
- Reduced range of elbow movements – especially extension and forearm rotations.
- Arthritis.
- Persistent elbow ligament laxity or instability.
Treatment
A plaster cast for about 3 weeks is used for undisplaced fractures.
For comminuted and displaced fractures, open reduction and internal fixation with metal implants can be difficult and with unpredictable results.
Radial Head Replacement
A radial head replacement can provide excellent results with early mobilization of the elbow.
This is a video showing the possible excellent results as early as 1 week post-surgery.
For more information on treatment of radial head fractures, please visit us at http://www.ortho.com.sg or call us at +65-683 666 36.
You can also email Dr HC Chang at hcchang@ortho,com.sg



